Pasar al contenido principal
Un sitio oficial del Gobierno de Estados Unidos
English
Ante la falta de fondos del gobierno federal, no se actualizará este sitio web y la organización no responderá a transacciones ni consultas hasta que se aprueben los fondos. 

El Centro Clínico de los Institutos Nacionales de la Salud  (el hospital de investigación) permanecerá abierto.  Consulte cc.nih.gov (en inglés).

Infórmese sobre el funcionamiento del gobierno federal y el reinicio de las actividades en  opm.gov.

Enviar por correo electrónico

El toripalimab es el primer medicamento de inmunoterapia aprobado para el cáncer de nasofaringe

, por Elia Ben-Ari

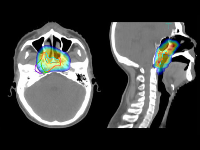
Imágenes diagnósticas de un carcinoma de nasofaringe con dosis de radiación presentadas en diferentes colores.

Imágenes diagnósticas de una persona con un carcinoma de nasofaringe que volvió (recidivante), en las que se destacan las distintas dosis de radiación recibidas durante el tratamiento anterior. El toripalimab es ahora el primer medicamento aprobado por la FDA para tratar el carcinoma de nasofaringe recidivante.

Fuente: Radiation Oncology. Marzo de 2014. doi: 10.1186/1748-717X-9-87. CC BY 2.0 DEED.

La Administración de Alimentos y Medicamentos (FDA) aprobó el primer medicamento de inmunoterapia para el tratamiento del carcinoma de nasofaringe (CNF), un tipo de cáncer de cabeza y cuello.

La aprobación del toripalimab (Loqtorz), que se anunció el 27 de octubre, se basó en los resultados de dos estudios clínicos realizados en Asia, donde el CNF es mucho más frecuente que en casi todo el mundo. Shanghai Junshi Biosciences, la compañía que formuló el medicamento, patrocinó ambos estudios.

Esta es la primera vez que la FDA aprueba el toripalimab en los Estados Unidos. La aprobación incluye su uso como tratamiento inicial para las personas con CNF que recidivó (volvió) o se diseminó a otras partes del cuerpo (metastásico). La aprobación también incluye el uso del toripalimab por sí solo para las personas con CNF recidivante o metastásico que empeoró con la quimioterapia estándar o después de recibirla.

La aprobación debería cambiar de inmediato el tratamiento que reciben las personas con CNF en este país, afirmó la doctora Barbara Burtness, experta en cáncer de cabeza y cuello de la Universidad de Yale que no participó en el estudio.

En un estudio, las personas con CNF recidivante o metastásico se asignaron al azar a recibir quimioterapia estándar con toripalimab o quimioterapia estándar sola. Los pacientes tratados con toripalimab y quimioterapia vivieron más tiempo en general y vivieron más tiempo sin que el cáncer empeorara (supervivencia sin progresión) que los pacientes que recibieron quimioterapia sola. 

En un estudio más pequeño de fase inicial, los investigadores descubrieron que el tratamiento con toripalimab solo achicó los tumores o impidió que crecieran en algunas personas con CNF avanzado que había empeorado a pesar del tratamiento anterior con quimioterapia estándar.

“La quimioterapia... ha sido el pilar del tratamiento para las personas con CNF más avanzado”, afirmó el doctor Tanguy Seiwert, especialista en cáncer de cabeza y cuello de la Universidad Johns Hopkins, que tampoco participó en el estudio. “Esta aprobación nos brinda otra herramienta” para tratar la enfermedad.

La aprobación del uso del toripalimab en los Estados Unidos, “me emociona”, añadió el doctor Seiwert.

Diferencias entre el CNF y otros cánceres de cabeza y cuello

El CNF difiere de otros tipos de cáncer de cabeza y cuello en varios aspectos, como sus causas y su tratamiento. Por lo tanto, “no se suele incluir a pacientes con CNF en los estudios clínicos sobre cáncer de cabeza y cuello”, indicaron los investigadores en su informe del estudio de toripalimab con quimioterapia.

La causa de la mayoría de los casos de CNF es la infección por el virus de Epstein-Barr (VEB). Aunque la mayoría de las personas del mundo se han expuesto al VEB, pocas presentan CNF porque hay otros factores de riesgo que influyen en la aparición del cáncer.

Estos factores de riesgo incluyen las características genéticas y factores ambientales, como el consumo de bebidas alcohólicas y de tabaco. Por este motivo, el CNF es mucho más frecuente en ciertas partes del mundo, como el sur de China y el sudeste asiático, que en los Estados Unidos y otros países, explicó el doctor Seiwert. También hay casos de CNF agrupados en el Ártico y en partes del Oriente Medio y el norte de África.

Si el CNF se detecta temprano, con frecuencia se cura con radioterapia y quimioterapia, indicó el doctor Seiwert.

A diferencia de otros tipos de cáncer de cabeza y cuello, “la cirugía no es una buena opción para el CNF por su ubicación en el cráneo, justo detrás de la nariz, donde hay muchas estructuras importantes”, explicó.

Si el CNF se diagnostica cuando ya se diseminó, o si vuelve después del tratamiento inicial, los pacientes suelen recibir regímenes de quimioterapia que incluyen cisplatino u otros medicamentos de platino. Una vez que el cáncer progresa después de la quimioterapia, no hay un tratamiento estándar.

El toripalimab es un tipo de inmunoterapia que se llama inhibidor de puntos de control inmunitario. Se dirige a una proteína llamada PD-1 que está en ciertas células inmunitarias, donde atacan y destruyen mejor las células cancerosas.

En agosto de 2021, se publicaron los primeros resultados de un estudio que indicaron que el toripalimab con quimioterapia era más eficaz que la quimioterapia sola. Poco después, como el uso del toripalimab aún no estaba aprobado en los Estados Unidos, las recomendaciones de tratamiento de los principales grupos oncológicos del país empezaron a incluir la opción de usar otros inhibidores de puntos de control inmunitario dirigidos a PD-1, como el pembrolizumab (Keytruda) y el nivolumab (Opdivo), explicó la doctora Burtness.

Sin embargo, no se han realizado estudios clínicos rigurosos de esos medicamentos en las personas con CNF, así que la FDA aún no los aprobó para tal uso.

“Ahora podemos usar el medicamento adecuado, que ofrece una mejora evidente para los pacientes, según se demostró en un estudio aleatorizado grande, que se considera el máximo grado de comprobación científica” de que un tratamiento funciona, destacó el doctor Seiwert.

“Es maravilloso ver algo que prolonga la supervivencia de estos pacientes”, señaló la doctora Burtness.

La aprobación estadounidense del toripalimab se basó en dos estudios clínicos

El estudio clínico de fase inicial, llamado POLARIS-02, en el que se probó solo el toripalimab en las personas con CNF avanzado se realizó en hospitales de China. En el estudio se inscribieron 172 personas con CNF avanzado que se diseminó o empeoró después de tratarlo con quimioterapia.

En este estudio, el toripalimab, que se administra por infusión, achicó los tumores en el 21 % de los pacientes. La mediana de tiempo de respuesta, durante la que los tumores de las personas no crecieron y el cáncer no se diseminó, fue de casi 15 meses.

En otro estudio, llamado JUPITER-02 y que se realizó en China, Taiwán y Singapur, se inscribieron 289 personas con CNF recidivante o metastásico que aún no habían recibido quimioterapia para este cáncer recidivante o metastásico.

Las personas del grupo de toripalimab recibieron el medicamento junto con quimioterapia hasta por 6 meses, seguido de toripalimab solo como terapia de mantenimiento hasta que el cáncer comenzó a empeorar. Las personas del otro grupo recibieron quimioterapia hasta por 6 meses, seguida de infusiones de placebo.

Los resultados iniciales de JUPITER-02 indicaron que las personas tratadas con toripalimab y quimioterapia vivieron una mediana de 11,7 meses sin que el cáncer empeorara, en comparación con 8,0 meses de las personas tratadas solo con quimioterapia. 

Además, los resultados definitivos de JUPITER-02, que se publicaron el 28 de noviembre en JAMA y que representaban una mediana de seguimiento de 36 meses, indicaron que el toripalimab prolongaba la supervivencia general, así como la supervivencia sin progresión.

A los 2 años de iniciar el tratamiento, el 78 % de las personas del grupo de toripalimab seguían vivas, frente al 65 % de las personas del grupo de quimioterapia sola. La tasa de supervivencia general a los 3 años fue del 64 % en el grupo de toripalimab y del 49 % en el grupo de quimioterapia sola. 

Los pacientes del grupo de toripalimab también tuvieron una supervivencia sin progresión mucho mejor: una mediana de 21,4 meses frente a 8,2 meses.

Más efectos secundarios con el toripalimab

En JUPITER-02, la tasa general de efectos secundarios graves, como los recuentos sanguíneos bajos, fue similar en los dos grupos. Los efectos secundarios más comunes, incluso los graves, se debieron sobre todo a la quimioterapia.

Con el toripalimab, se observaron efectos secundarios relacionados con una respuesta inmunitaria, como inflamación de los pulmones y el colon, funcionamiento anormal del hígado, reacciones en la piel y problemas hormonales, como hipotiroidismo.

Los efectos secundarios que se observaron con más frecuencia en el grupo de toripalimab fueron hipotiroidismo, infecciones respiratorias de vías altas y neumonía.

A pesar del aumento del riesgo de efectos secundarios relacionados con una respuesta inmunitaria que tiene el toripalimab, los pacientes “suelen tolerar bien” la inmunoterapia, afirmó el doctor Seiwert.

La doctora Burtness advirtió que, “al igual que con cualquier inhibidor de puntos de control inmunitario, los pacientes con trastornos autoinmunitarios preexistentes tienen un mayor riesgo” de efectos secundarios relacionados con una respuesta inmunitaria, incluso efectos graves. Indicó que, para estos pacientes, los médicos quizás sugieran empezar con quimioterapia y después cambiar al toripalimab cuando la quimioterapia deje de funcionar.

El doctor Seiwert también comentó que, en al menos otros dos estudios clínicos grandes y rigurosos de inhibidores de puntos de control inmunitario dirigidos a PD-1 que no están disponibles en los Estados Unidos, hubo una mejora de la supervivencia sin progresión en las personas con CNF avanzado cuando los medicamentos se añaden a la quimioterapia.

Pero concluyó que la aprobación del toripalimab por la FDA como primer inhibidor de puntos de control inmunitario para tratar el CNF, “es un verdadero avance”.

< Artículo anterior

Las clases virtuales de acondicionamiento físico-mental muestran beneficios inesperados en las personas con cáncer

Artículo siguiente >

Nueva aprobación de la enzalutamida para el cáncer de próstata no diseminado

Si desea copiar algo de este texto, vea Derechos de autor y uso de imágenes y contenido sobre instrucciones de derechos de autor y permisos. En caso de reproducción digital permitida, por favor, dé crédito al Instituto Nacional del Cáncer como su creador, y enlace al producto original del NCI usando el título original del producto; por ejemplo, “El toripalimab es el primer medicamento de inmunoterapia aprobado para el cáncer de nasofaringe publicada originalmente por el Instituto Nacional del Cáncer.”

Enviar por correo electrónico