Pasar al contenido principal
Un sitio oficial del Gobierno de Estados Unidos
English
Ante la falta de fondos del gobierno federal, no se actualizará este sitio web y la organización no responderá a transacciones ni consultas hasta que se aprueben los fondos. 

El Centro Clínico de los Institutos Nacionales de la Salud  (el hospital de investigación) permanecerá abierto.  Consulte cc.nih.gov (en inglés).

Infórmese sobre el funcionamiento del gobierno federal y el reinicio de las actividades en  opm.gov.

Enviar por correo electrónico

Los problemas de mandíbula relacionados con los medicamentos para tratar enfermedades de los huesos son más comunes de lo que se pensaba

, por Nadia Jaber

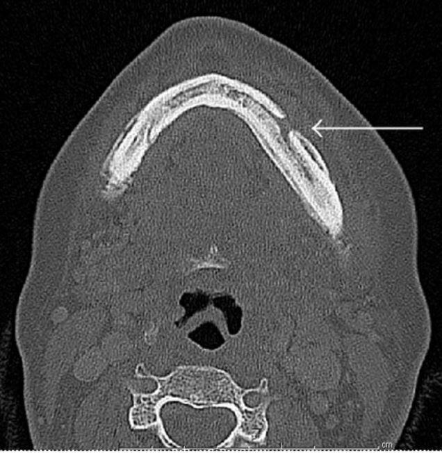
Una tomografía computarizada de una mandíbula con una flecha señalando un área abierta en el hueso.

En esta tomografía computarizada, una flecha marca una osteonecrosis de la mandíbula, que quizás fue a causa del tratamiento con un bisfosfonato.

Fuente: Case Reports in Oncological Medicine. 2014. doi: 10.1155/2014/281812. CC BY 3.0.

Cuando el cáncer se disemina al hueso, los pacientes reciben a menudo medicamentos para disminuir los problemas óseos, como el dolor y las fracturas. Pero esos medicamentos a veces hacen que partes de la mandíbula se deterioren y se muera el hueso, un problema llamado osteonecrosis de la mandíbula (ONM).

Se pensaba que la ONM era un efecto secundario poco común de estas terapias, que incluyen el uso del denosumab (Xgeva) y los bisfosfonatos, como el ácido zoledrónico. Sin embargo, en un estudio nuevo se descubrió que este efecto secundario grave y doloroso es más común de lo que se pensaba. 

En el estudio, que se llevó a cabo en Austria, se descubrió que casi el 9 % de las personas con cáncer de mama metastásico tuvieron ONM después de tomar antirreabsortivos, que son medicamentos modificadores de hueso.

Los investigadores demostraron que las personas que tomaron denosumab tenían casi 5 veces más probabilidad de presentar ONM que las personas que tomaron bisfosfonatos. Los hallazgos se publicaron el 20 de agosto en la Journal of Clinical Oncology.

"Este es un hallazgo importante ya que la ONM puede afectar mucho la calidad de vida", escribieron la encargada del estudio, la doctora Christine Brunner, de la Universidad Médica de Innsbruck, y sus colegas. 

Aunque el estudio se centró en las personas con cáncer de mama metastásico, también hay otros tipos de cáncer que comienzan o se diseminan al hueso, como el mieloma múltiple, el cáncer de pulmón y el cáncer de próstata, que se tratan con medicamentos modificadores de hueso, señaló el doctor y licenciado en Medicina Stanley Lipkowitz, jefe de la División de Neoplasias Malignas en Mujeres del Instituto Nacional del Cáncer (NCI).

“Es muy posible que otros tipos de cáncer que se tratan de igual manera [con medicamentos modificadores de hueso] tengan un aumento parecido en la tasa de osteonecrosis de la mandíbula”, afirmó el doctor Lipkowitz, que no participó en el estudio.

Un estudio de 20 años sobre la osteonecrosis de la mandíbula

Si bien en muchos estudios se analizó la frecuencia con la que las personas con cáncer presentan osteonecrosis de la mandíbula, el nuevo estudio se diferencia en algunos aspectos, dijo el doctor Lipkowitz. 

La diferencia principal es que incluyó datos recopilados durante 20 años, explicó. En otros estudios, solo se recopilaron datos durante pocos años.

“Al realizar un seguimiento más prolongado, se descubrió que, cuanto mayor es la duración de la terapia [modificadora de hueso], mayor es la tasa de [osteonecrosis de la mandíbula]”, destacó el doctor Lipkowitz. La tasa de osteonecrosis de la mandíbula fue baja el primer año. Pero siguió en aumento cada año del tratamiento, que se suele administrar por tiempo indefinido, explicó.

Es un hallazgo importante porque el cáncer de mama a menudo se disemina a los huesos, resaltó el doctor Lipkowitz.

Además, con tratamientos más nuevos y más eficaces para el cáncer de mama metastásico, los pacientes viven más tiempo y toman medicamentos modificadores de hueso durante más tiempo, agregó. 

Mayor riesgo de osteonecrosis mandibular con el uso del denosumab

Para evaluar con qué frecuencia se producía la osteonecrosis mandibular, la doctora Brunner y sus colegas analizaron una base de datos de todas las personas con cáncer de mama que vivían en un determinado estado de Austria entre 2000 y 2020. 

Descubrieron que 639 personas con cáncer de mama diseminado al hueso habían recibido denosumab, un bisfosfonato o ambos medicamentos. Ambos medicamentos se tomaron una vez al mes. 

Los investigadores encontraron que 56 pacientes (9 %) presentaron osteonecrosis de la mandíbula. El porcentaje de las personas que tomaron denosumab con osteonecrosis de la mandíbula (12 %) fue mayor que el de las personas que tomaron un bisfosfonato (3 %). Las personas que tomaron un bisfosfonato seguido de denosumab tuvieron la tasa más alta de osteonecrosis de la mandíbula (16 %).

A pesar de esto, no es habitual que los pacientes tomen ambos medicamentos, señaló el doctor Lipkowitz. Es probable que los pocos pacientes del estudio que recibieron la combinación hayan comenzado con un bisfosfonato y luego pasaran a tomar denosumab después de que se convirtió en el tratamiento estándar en 2010, explicó. 

Una limitación del estudio fue que los pacientes no recibieron un examen dental antes de iniciar el tratamiento, dijo el doctor y odontólogo Cesar Migliorati, de la Facultad de Odontología de la Universidad de Florida. Por lo tanto, no está claro cuántos pacientes tenían enfermedad en las encías o una infección dental, dos factores de riesgo importantes para la ONM, antes de comenzar el tratamiento. 

Si muchos de los pacientes tenían una enfermedad dental previa, eso podría haber aumentado la tasa de ONM, explicó el doctor Migliorati, que no participó en el estudio austriaco, pero fue uno de los primeros en informar sobre una relación entre la ONM y los medicamentos modificadores de hueso.

Consejos para las personas que toman medicamentos modificadores de hueso

La osteonecrosis de la mandíbula hace que la boca se duerma y puede ser muy dolorosa, explicó el doctor Migliorati. Hace que sea difícil tragar y hablar.

Los casos graves de ONM también son difíciles de tratar, indicó el doctor Lipkowitz, por eso la prevención es la clave. Los expertos dicen que la mejor manera de prevenir la ONM es cuidar la salud bucal: cepillarse los dientes, no fumar e ir a las citas periódicas con el dentista mientras se toman los medicamentos. 

También es muy importante hacerse un examen dental antes de comenzar a tomar estos medicamentos, señaló el doctor Migliorati. Si tiene enfermedad de las encías o un diente infectado, hay que resolver eso antes de comenzar a tomar medicamentos modificadores de hueso, agregó.

"Es muy importante que el oncólogo se comunique con el dentista" y conversen sobre el plan de tratamiento, mencionó el doctor Migliorati. Juntos deben considerar los posibles riesgos y beneficios de los medicamentos modificadores de hueso para cada paciente, indicó.

Por ejemplo, en los estudios se demostró que el denosumab funciona mejor que los bifosfonatos para tratar los problemas óseos. Pero en el nuevo estudio se demostró que la desventaja es que el denosumab aumenta el riesgo de ONM, señaló el doctor Lipkowitz.

También podría haber buenas noticias, agregó. En varios estudios nuevos, se demostró que el ácido zoledrónico, un bisfosfonato, es igual de eficaz cuando se administra cada 3 meses en lugar de cada mes, como en el caso del estudio austriaco. Es posible que esto sea cierto también para el denosumab, pero los estudios definitivos siguen en curso, explicó el doctor Lipkowitz. 

Si se administra la dosis cada 3 meses, los pacientes “recibirán cantidades menores del medicamento con el paso del tiempo”, aclaró. Y eso, continuó, tal vez reduzca el riesgo de tener osteonecrosis de la mandíbula con el tiempo, aunque eso “no no sabemos con seguridad”. 

< Artículo anterior

En un estudio clínico se respaldó el uso ininterrumpido de imatinib para algunos tumores de estroma gastrointestinal

Artículo siguiente >

Algunas mujeres evitan las pruebas de seguimiento tras una mamografía con resultado positivo falso

Si desea copiar algo de este texto, vea Derechos de autor y uso de imágenes y contenido sobre instrucciones de derechos de autor y permisos. En caso de reproducción digital permitida, por favor, dé crédito al Instituto Nacional del Cáncer como su creador, y enlace al producto original del NCI usando el título original del producto; por ejemplo, “Los problemas de mandíbula relacionados con los medicamentos para tratar enfermedades de los huesos son más comunes de lo que se pensaba publicada originalmente por el Instituto Nacional del Cáncer.”

Enviar por correo electrónico