December 2017 - Temas y relatos
-
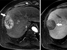
Nivolumab recibe aprobación acelerada de la FDA para cáncer avanzado de hígado
La FDA otorgó la aprobación acelerada del fármaco de inmunoterapia nivolumab (Opdivo®) para pacientes con cáncer avanzado de hígado y para pacientes que se trataron antes con la terapia dirigida sorafenib (Nexavar®).
-
Gemtuzumab obtiene una nueva aprobación de la FDA para la leucemia mieloide aguda
La FDA aprobó el uso de gemtuzumab ozogamicina (Mylotarg™) para pacientes adultos con diagnóstico reciente de LMA que expresa una proteína llamada CD33 y para tratar a pacientes de 2 o más años que tienen LMA positiva para CD33 que sufrieron una recaída o cuya enfermedad no respondió al tratamiento inicial.
-
Un momento importante en el control del tabaco
El 26 de noviembre de 2017 marcó un momento único en la historia de la salud pública en los Estados Unidos, al publicar las principales compañías tabacaleras de los Estados Unidos la primera de una serie de "declaraciones correctivas" ordenadas por la corte acerca de sus productos.