Skip to main content
An official website of the United States government
Government Funding Lapse
Because of a lapse in government funding, the information on this website may not be up to date, transactions submitted via the website may not be processed, and the agency may not be able to respond to inquiries until appropriations are enacted.

The NIH Clinical Center (the research hospital of NIH) is open. For more details about its operating status, please visit cc.nih.gov.

Updates regarding government operating status and resumption of normal operations can be found at opm.gov.

Email
NCI Press Release

NIH study demonstrates that a new cancer immunotherapy method could be effective against a wide range of cancers

  • Posted:
Contact: NCI Press Office

240-760-6600

A new method for using immunotherapy to specifically attack tumor cells that have mutations unique to a patient's cancer has been developed by scientists at the National Cancer Institute (NCI), part of the National Institutes of Health. The researchers demonstrated that the human immune system can mount a response against mutant proteins expressed by cancers that arise in epithelial cells which can line the internal and external surfaces (such as the skin) of the body. These cells give rise to many types of common cancers, such as those that develop in the digestive tract, lung, pancreas, bladder and other areas of the body.

The research provides evidence that this immune response can be harnessed for therapeutic benefit in patients, according to the scientists. The study appeared May 9, 2014, in the journal Science.

“Our study deals with the central problem in human cancer immunotherapy, which is how to effectively attack common epithelial cancers,” said Steven A. Rosenberg, M.D., Ph.D., chief of the Surgery Branch in NCI's Center for Cancer Research. “The method we have developed provides a blueprint for using immunotherapy to specifically attack sporadic or driver mutations, unique to a patient's individual cancer.”

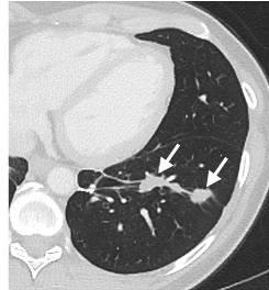
Lung CT scan taken six months after ACT with mutation-specific T-cells, showing shrinkage of metastatic tumors in the lung tissue, with arrows pointing to the reduced tumor sites.

Six months after ACT with mutation-specific T-cells, tumors that metastasized to the lung have shrunk.

All malignant tumors harbor genetic alterations, some of which may lead to the production of mutant proteins that are capable of triggering an antitumor immune response. Research led by Rosenberg and his colleagues had shown that human melanoma tumors often contain mutation-reactive immune cells called tumor-infiltrating lymphocytes, or TILs. The presence of these cells may help explain the effectiveness of adoptive cell therapy (ACT) and other forms of immunotherapy in the treatment of melanoma.

In ACT, a patient's own TILs are collected, and those with the best antitumor activity are grown in the laboratory to produce large populations that are infused into the patient. However, prior to this work it had not been clear whether the human immune system could mount an effective response against mutant proteins produced by epithelial cell cancers.  These cells comprise more than 80 percent of all cancers. It was also not known whether such a response could be used to develop personalized immunotherapies for these cancers.

In this study, Rosenberg and his team set out to determine whether TILs from patients with metastatic gastrointestinal cancers could recognize patient-specific mutations. They analyzed TILs from a patient with bile duct cancer that had metastasized to the lung and liver and had not been responsive to standard chemotherapy. The patient, a 43-year-old woman, was enrolled in an NIH trial of ACT for patients with gastrointestinal cancers (Clinical trial number NCT01174121).

The researchers first did whole-exome sequencing, in which the protein-coding regions of DNA are analyzed to identify mutations that the patient's immune cells might recognize. Further testing showed that some of the patient's TILs recognized a mutation in a protein called ERBB2-interacting protein (ERBB2IP). The patient then underwent adoptive cell transfer of 42.4 billion TILs, approximately 25 percent of which were ERBB2IP mutation-reactive T lymphocytes, which are primarily responsible for activating other cells to aid cellular immunity, followed by treatment with four doses of the anticancer drug interleukin-2 to enhance T-cell proliferation and function.

Following transfer of the TILs, the patient's metastatic lung and liver tumors stabilized. When the patient's disease eventually progressed, after about 13 months, she was re-treated with ACT in which 95 percent of the transferred cells were mutation-reactive T cells, and she experienced tumor regression that was ongoing as of the last follow up (six months after the second T-cell infusion). These results provide evidence that a T-cell response against a mutant protein can be harnessed to mediate regression of a metastatic epithelial cell cancer.

“Given that a major hurdle for the success of immunotherapies for gastrointestinal and other cancers is the apparent low frequency of tumor-reactive T cells, the strategies reported here could be used to generate a T-cell adoptive cell therapy for patients with common cancers,” said Rosenberg.

###

Reference: Tran et al.  Cancer immunotherapy based on mutation-specific CD4+ T cells in a patient with epithelial cancer. Science. May 9, 2014. DOI: 10.1126/science.1251102.

Email