Combination immunotherapy shrank a variety of metastatic solid cancers
- Posted:
240-760-6600

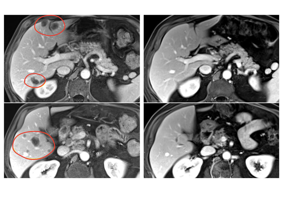
Ten months after treatment with selected TIL therapy and pembrolizumab, a patient with rectal cancer had substantial shrinkage of multiple liver metastases (left scans, circled in red).
Credit: Center for Cancer Research/National Cancer Institute
A new form of tumor infiltrating lymphocyte (TIL) therapy, a form of personalized cancer immunotherapy, dramatically improved the treatment’s effectiveness in patients with metastatic gastrointestinal cancers, according to results of a clinical trial led by researchers at the National Institutes of Health (NIH). The findings, published April 1, 2025, in Nature Medicine, offer hope that this therapy could be used to treat a variety of solid tumors, which has so far eluded researchers developing cell-based therapies.
This form of therapy involves identifying and selecting immune cells (TILs) that are found in the tumor that specifically recognize and attack a patient’s tumor cells. Next, scientists grow those TILs into large quantities in the laboratory before they are finally administered to the patient.
Patients in the clinical trial, who had a variety of gastrointestinal tumors, also received the immune checkpoint inhibitor pembrolizumab (Keytruda) to help further boost their immune response. The result was nearly 24% of patients treated with selected TILs plus pembrolizumab had a substantial reduction in the size of their tumors, compared with 7.7% of patients who received selected TILs without pembrolizumab. Patients treated with TILs that had not been selected for anti-tumor activity had no tumor shrinkage.
“We're seeing the first extension of cellular therapy with TILs into the common solid cancers,” said Steven A. Rosenberg, M.D., Ph.D., the study’s lead investigator at NIH’s National Cancer Institute. “We see a little crack in the solid wall of cancer by using cell-based immunotherapy for the common solid cancers, and we think we have ways to open that crack even further.”
The clinical trial included 91 patients with metastatic gastrointestinal cancers—including esophageal, stomach, pancreatic, colon, and rectal cancers—that had worsened despite a median of four prior treatment regimens. In the pilot phase of the trial, 18 patients were treated with TILs that had not been selected for anti-tumor activity, and there were no objective responses (tumor shrinkage of at least 30% is considered an objective response). In the second phase, 39 patients were treated with selected TIL therapy, and three (7.7%) had objective responses.
In the third phase, 34 patients received pembrolizumab immediately before selected TIL therapy to prevent the newly introduced immune cells from becoming inactivated by the patient’s own immune system. This group had the best response, with 8 of 34 (23.5%) patients experiencing an objective response. All 91 patients had also received standard chemotherapy and high-dose interleukin-2 before the TIL therapy.
In the trial’s second and third phases, objective responses were seen in multiple types of gastrointestinal cancers, including cancers of the colon, rectum, pancreas, and bile duct. Responses lasted between 8 months and more than 5.8 years in the group that received selected TIL therapy alone, and between 4 months and 3.5 years in the group that received selected TIL therapy and pembrolizumab. Serious side effects occurred in 30% of patients treated with selected TILs.
The researchers are now developing methods to identify TILs that recognize multiple, specific proteins within a tumor, known as neoantigens, to help increase the number of patients who respond to selected TIL therapy with pembrolizumab.
TIL therapy, developed in the late 1980s by Dr. Rosenberg and his colleagues at NIH, uses an individual’s own TILs to fight their tumor cells. Last year, the Food and Drug Administration approved the first TIL therapy for a solid cancer, lifileucel (Amtagvi), for treating advanced melanoma.
The new study was co-led by Dr. Rosenberg and NCI investigators Frank J. Lowery, Ph.D., and Stephanie L. Goff, M.D.
About the National Cancer Institute (NCI): NCI leads the National Cancer Program and NIH’s efforts to dramatically reduce the prevalence of cancer and improve the lives of people with cancer. NCI supports a wide range of cancer research and training extramurally through grants and contracts. NCI’s intramural research program conducts innovative, transdisciplinary basic, translational, clinical, and epidemiological research on the causes of cancer, avenues for prevention, risk prediction, early detection, and treatment, including research at the NIH Clinical Center—the world’s largest research hospital. Learn more about the intramural research done in NCI’s Center for Cancer Research. For more information about cancer, please visit the NCI website at cancer.gov or call NCI’s contact center at 1-800-4-CANCER (1-800-422-6237).
About the National Institutes of Health (NIH): NIH, the nation's medical research agency, includes 27 Institutes and Centers and is a component of the U.S. Department of Health and Human Services. NIH is the primary federal agency conducting and supporting basic, clinical, and translational medical research, and is investigating the causes, treatments, and cures for both common and rare diseases. For more information about NIH and its programs, visit nih.gov.