Skip to main content
An official website of the United States government
Government Funding Lapse
Because of a lapse in government funding, the information on this website may not be up to date, transactions submitted via the website may not be processed, and the agency may not be able to respond to inquiries until appropriations are enacted.

The NIH Clinical Center (the research hospital of NIH) is open. For more details about its operating status, please visit cc.nih.gov.

Updates regarding government operating status and resumption of normal operations can be found at opm.gov.

Email

MyeloMATCH Precision Medicine Trials

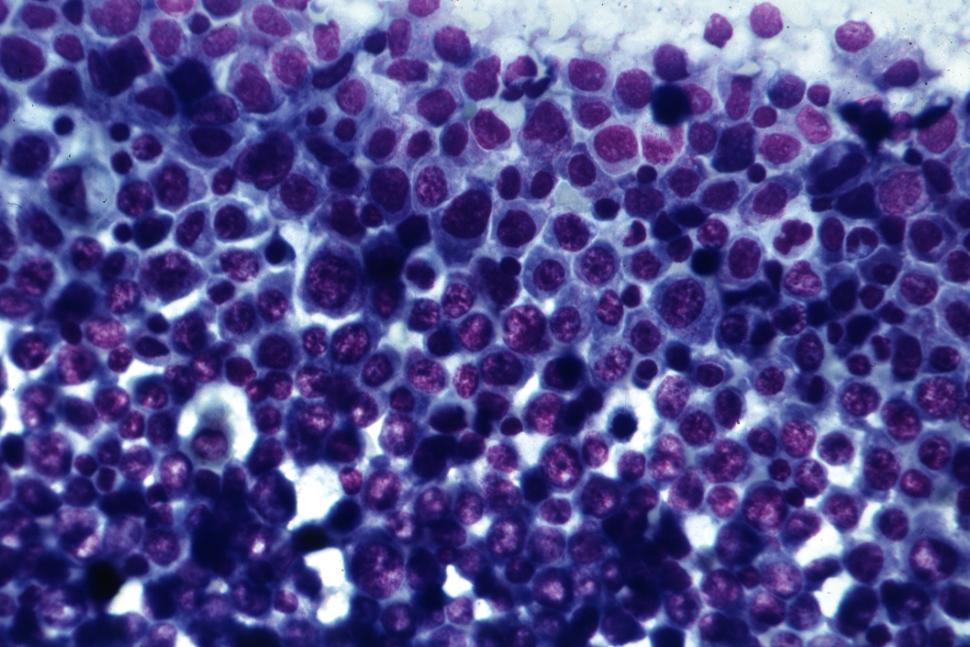
Image of closely crowded blue leukemia cells representing acute myeloid leukemia.

Acute myeloid leukemia cells with characteristics indicating recent transition from myeloproliferative disorder.

Credit: University of Alabama at Birmingham Department of Pathology

MyeloMATCH (Myeloid Malignancies Molecular Analysis for Therapy Choice) is a group of precision medicine clinical trials for people with myelodysplastic syndromes (MDS) or acute myeloid leukemia (AML).

The trials will test various combinations of treatments targeting the genetics underlying each participant’s cancer.

About MDS and AML

MDS are a group of cancers in which immature blood cells in the bone marrow do not mature or become healthy blood cells. AML is a type of cancer in which the bone marrow makes a large number of abnormal blood cells.

Both MDS and AML originate from a type of blood cell called a myeloid stem cell. Myeloid stem cells produce one of three types of mature blood cells: red blood cells, platelets, or certain types of white blood cells.

The myeloMATCH Trials

MyeloMATCH consists of an initial screening study and multiple treatment trials. In the screening study, people with newly diagnosed MDS or AML will have blood and bone marrow samples collected. These samples will be analyzed for genetic changes commonly seen in MDS and AML. Based on the findings from the genetic analysis, participants will then be assigned to a trial testing treatments that target the specific mutations in their tumors or that may be particularly active because of the genetic makeup of the cancer. 

Participants who do not match with a treatment study in myeloMATCH will receive standard therapy for their cancer and will be considered for other myeloMATCH treatment trials that could offer appropriate therapy for them. 

One goal of myeloMATCH is to offer clinical trials to people with MDS or AML throughout the course of their disease until cure, progression, or death. To participate in myeloMATCH, people must be newly diagnosed and not yet have received treatment for MDS or AML. 

If the initial treatment reduces the person’s disease, they may undergo further genetic testing to match them to a subsequent trial testing a treatment that targets their remaining disease. As the amount of a person’s disease decreases further, study investigators will use increasingly sensitive tools, such as biomarker assays, to discover the genetic changes that continue to drive cancer growth and design myeloMATCH treatment trials to target the remaining cancer cells.

Trials Currently Open to Recruitment

The following myeloMATCH trials are currently open for enrollment.

Trial IDsTrial TitleCancer Type
MYELOMATCH
NCT05564390
MyeloMATCH Screening TrialMDS or AML
MM1OA-EA02
NCT06317649
Venetoclax and HMA Treatment of Older and Unfit Adults with FLT3 Mutated Acute Myeloid LeukemiaAML
MM1YA-S01
NCT05554406
Testing the Effects of Novel Therapeutics for Newly Diagnosed, Untreated Patients with High-Risk Acute Myeloid LeukemiaAML
MM1YA-CTG01
NCT05554393
Comparing Cytarabine and Daunorubicin Versus Venetoclax with Cytarabine and Daunorubicin Versus Azacitidine and Venetoclax in Younger Patients with Intermediate Risk AMLAML
MM1MDS-A01
NCT06577441
Testing the Addition of an IDH2 Inhibitor, Enasidenib, to Usual Treatment (Cedazuridine-Decitabine) for Higher-Risk Myelodysplastic Syndrome (MDS) with IDH2 MutationMDS
MM1OA-S03
NCT06672146
Comparing New Treatments for People with Newly Diagnosed Acute Myeloid Leukemia That Has an IDH2 Gene ChangeAML

For More Information

MyeloMATCH is being conducted by the National Clinical Trials Network, with the participation of the NCI Community Oncology Research Program (NCORP). Treatment trials will be led by SWOG Cancer Research Network, Alliance for Clinical Trials in Oncology, ECOG-ACRIN Cancer Research Group, and the Canadian Cancer Trials Group. The Frederick National Laboratory for Cancer Research, Fred Hutch Cancer Center, and Children’s Hospital Los Angeles will provide clinical laboratory support for the studies.

To learn more about myeloMATCH and how to enroll, talk with your doctor or other health care provider. More details about the myeloMATCH screening study are available in the protocol summary and on the SWOG Cancer Research Network website.

For questions about myeloMATCH or any other cancer topic, contact NCI’s Cancer Information Service by phone, live chat, or email.

  • Updated:

If you would like to reproduce some or all of this content, see Reuse of NCI Information for guidance about copyright and permissions. In the case of permitted digital reproduction, please credit the National Cancer Institute as the source and link to the original NCI product using the original product's title; e.g., “MyeloMATCH Precision Medicine Trials was originally published by the National Cancer Institute.”

Email