Pasar al contenido principal
Un sitio oficial del Gobierno de Estados Unidos
English
Ante la falta de fondos del gobierno federal, no se actualizará este sitio web y la organización no responderá a transacciones ni consultas hasta que se aprueben los fondos. 

El Centro Clínico de los Institutos Nacionales de la Salud  (el hospital de investigación) permanecerá abierto.  Consulte cc.nih.gov (en inglés).

Infórmese sobre el funcionamiento del gobierno federal y el reinicio de las actividades en  opm.gov.

Enviar por correo electrónico

Se identifican factores de riesgo de osteonecrosis maxilar por el uso del ácido zoledrónico

, por por el Equipo del NCI

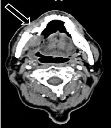
Imagen de tomografía computarizada (TC) de osteonecrosis de maxilar inferior (mandíbula) con una flecha que indica una fractura.

Fuente: West J Emerg Med. Jan 2015. doi: 10.5811/westjem.2014.10.23837. CC BY 4.0

Cuando el cáncer se disemina al hueso es posible que cause dolor, fracturas y otros problemas. Para tratar estas complicaciones en los pacientes con cáncer que se diseminó a los huesos, en las pautas clínicas se recomienda administrar infusiones periódicas de un medicamento que causa cambios en el hueso, como el ácido zoledrónico (Zometa).

Pero estos medicamentos a veces tienen efectos secundarios dañinos, como la osteonecrosis maxilar. Esta es una afección poco común pero debilitante en la que el tejido maxilar (de la mandíbula o el hueso maxilar superior) queda expuesto y se muere porque las encías ya no lo cubren.

Hasta ahora, los médicos no tenían una idea clara de la frecuencia de esta afección en las personas con cáncer que reciben ácido zoledrónico. En el pasado, se calculó que el número de casos oscilaba entre el 1 % y el 15 %.

Ahora, en un estudio de casi 3500 personas se ofrece un cálculo más preciso del riesgo. En el estudio se determinó que el riesgo de que el ácido zoledrónico produzca osteonecrosis maxilar en las personas con cáncer de hueso es de alrededor del 1 % después de 1 año de tratamiento con el medicamento, 2 % después de 2 años y 3 % después de 3 años.

En el estudio financiado por el NCI y dirigido por el Grupo Oncológico del Sudoeste (SWOG), también se halló que la mala salud dental y fumar son factores de riesgo de osteonecrosis para estos pacientes.

Además, en los resultados del estudio que se publicaron el 17 de diciembre en la revista JAMA Oncology, se demostró que las personas que recibieron la misma dosis de ácido zoledrónico con mayor frecuencia, tuvieron un riesgo más alto de presentar osteonecrosis maxilar.

"Este es de uno de los primeros estudios en los que se evalúa en forma sistemática la salud dental y el riesgo de osteonecrosis maxilar por el ácido zoledrónico", señaló la doctora Lori Minasian, subdirectora de la División de Prevención del Cáncer del Instituto Nacional del Cáncer (NCI), quien colaboró en el estudio pero no participó como investigadora. La doctora Minasian agregó que "nos ayuda muchísimo a entender los daños que producen el ácido zoledrónico y otros medicamentos similares, y nos ayudará a usar mejor los medicamentos" cuando tratamos a las personas con cáncer.

Por ejemplo, los médicos podrán considerar administrar el ácido zoledrónico a intervalos menos frecuentes, detalló el doctor Charles Loprinzi, de la Mayo Clinic, quien no participó en el estudio. El doctor Loprinzi señaló que en estudios anteriores se demostró que administrar ácido zoledrónico cada 12 semanas para prevenir complicaciones por metástasis ósea tiene la misma eficacia que administrar el medicamento cada 4 semanas.

Además, los pacientes también cumplen un papel en la reducción del riesgo de osteonecrosis maxilar, puntualizó la doctora Minasian.
Dijo que, "el mensaje para los pacientes de cáncer es que se deben cuidar los dientes: cepillarse, ir al dentista y asegurarse de que tienen una buena salud bucal".

La relación entre la mala salud dental y el riesgo de osteonecrosis maxilar

El ácido zoledrónico y otros medicamentos similares, que se conocen como bisfosfonatos, ayudan a evitar el deterioro del tejido óseo que se produce cuando las células cancerosas se forman en el hueso. Pero esos medicamentos también interfieren en el proceso normal de desgaste y regeneración que mantiene la salud de los huesos, advirtió el doctor Loprinzi.

En 2003, los cirujanos maxilofaciales fueron los primeros en notar que algunos pacientes que recibían bisfosfonatos tenían osteonecrosis maxilar, una afección muy poco común hasta entonces. Se desconocen los mecanismos por los que los bifosfonatos causan esta afección, que es muy difícil de tratar.

A fin de evaluar el riesgo de osteonecrosis maxilar en las personas con cáncer, el equipo de estudio del SWOG, que incluyó a especialistas dentales e investigadores de cáncer, inscribió a 3491 pacientes que tenían planificado recibir ácido zoledrónico para el cáncer de hueso metastásico. Los tipos de cáncer más frecuentes en los participantes del estudio fueron el cáncer de seno (mama), el cáncer de próstata, el cáncer de pulmón y el mieloma múltiple (un cáncer que comienza en el hueso).

Se evaluó a los participantes cada 6 meses y se les dio seguimiento hasta por 3 años. A los 2263 participantes se les hizo un examen dental inicial y se les recomendó hacerse exámenes dentales cada 6 meses.

Después de 3 años, se confirmó la osteonecrosis maxilar en alrededor del 2,8 % de los pacientes (90 personas). Esta afección se identificó por la presencia durante al menos 8 semanas de un área expuesta del hueso del maxilar.

"Al final de los 3 años, hallamos que la probabilidad de tener esta complicación era mayor si la persona ya tenía mala salud dental (caída de dientes, dentadura postiza o cirugía bucal anterior) o si era fumadora", explicó la doctora Julie Gralow, de la Facultad de Medicina de la Universidad de Washington.

Quienes aún fumaban tenían el doble de probabilidad de presentar osteonecrosis maxilar, en comparación con los exfumadores o personas que nunca fumaron. Además, los pacientes que recibieron más dosis de ácido zoledrónico en total durante el primer año de tratamiento (o por más tiempo) tenían una probabilidad mayor de presentar osteonecrosis maxilar que quienes recibieron menos dosis.

Aunque la tasa general de osteonecrosis maxilar fue de cerca del 3 % a los 3 años, varió un poco según el tipo de cáncer. Por ejemplo, la tasa fue mayor en las personas con mieloma múltiple (4,3 %) y menor en quienes tenían cáncer de seno con metástasis ósea (2,4 %). La doctora Gralow señaló que es probable que los pacientes de mieloma múltiple reciban ácido zoledrónico a intervalos más frecuentes que los pacientes de cáncer de seno.

Como era de esperar, la osteonecrosis maxilar causó problemas importantes para los pacientes. Los investigadores del estudio informaron que los pacientes notificaron "más dolor, interferencias en la alimentación y el habla, y una peor calidad de vida en cuanto a la salud bucal".
Durante el estudio, algunas personas también recibieron un tipo diferente de medicamento que se usa para evitar el deterioro óseo, el denosumab (Xgeva), que estuvo disponible después del comienzo del estudio.

"Teníamos la esperanza de que el denosumab no se relacionara con el riesgo de osteonecrosis maxilar", comentó la doctora Gralow. No obstante, en estudios posteriores se observó que la osteonecrosis maxilar surgió durante el tratamiento con denosumab, y las tasas fueron comparables a las del tratamiento con ácido zoledrónico, agregó la doctora.

Información útil para médicos y pacientes

En este estudio "se proporciona información que los médicos pueden usar cuando hablan con sus pacientes", señaló la doctora Gralow. "Ahora cuando hablamos sobre las ventajas y desventajas del ácido zoledrónico, tenemos números más concretos. También podemos explicar mejor quiénes tienen mayor riesgo, como los fumadores o los pacientes con problemas dentales… y podemos [tomar medidas para] disminuir el riesgo de los efectos secundarios", prosiguió la doctora.

En definitiva, dijo la doctora Gralow, los investigadores esperan encontrar maneras mejores de tratar la osteonecrosis maxilar e incluso prevenirla.
Aún quedan preguntas clave para responder, por ejemplo: ¿cuán a menudo y por cuánto tiempo deben recibir ácido zoledrónico los pacientes con metástasis ósea?

El doctor Loprinzi explicó que aunque algunos expertos sugirieron que las personas recibieran el medicamento durante 2 años y luego lo dejaran, "no hay un acuerdo general sobre esta indicación porque nadie realizó un estudio concluyente".

Además, en el estudio no obtuvimos datos para determinar si el riesgo de osteonecrosis maxilar sigue en aumento después de administrar ácido zoledrónico por más de 3 años, puntualizó la investigadora principal del estudio, la doctora Catherine Van Poznak, de la Universidad de Michigan, en una entrevista para la revista JAMA Oncology. No obstante, a la doctora Poznak le preocupa que el riesgo de osteonecrosis maxilar continúe en aumento con el paso del tiempo.
 

< Artículo anterior

Se probó el abemaciclib para tratar el cáncer de seno (mama) en estadio temprano

Artículo siguiente >

Se espera que el relugolix cambie el tratamiento del cáncer de próstata avanzado

Si desea copiar algo de este texto, vea Derechos de autor y uso de imágenes y contenido sobre instrucciones de derechos de autor y permisos. En caso de reproducción digital permitida, por favor, dé crédito al Instituto Nacional del Cáncer como su creador, y enlace al producto original del NCI usando el título original del producto; por ejemplo, “Se identifican factores de riesgo de osteonecrosis maxilar por el uso del ácido zoledrónico publicada originalmente por el Instituto Nacional del Cáncer.”

Enviar por correo electrónico