Pasar al contenido principal
Un sitio oficial del Gobierno de Estados Unidos
English
Ante la falta de fondos del gobierno federal, no se actualizará este sitio web y la organización no responderá a transacciones ni consultas hasta que se aprueben los fondos. 

El Centro Clínico de los Institutos Nacionales de la Salud  (el hospital de investigación) permanecerá abierto.  Consulte cc.nih.gov (en inglés).

Infórmese sobre el funcionamiento del gobierno federal y el reinicio de las actividades en  opm.gov.

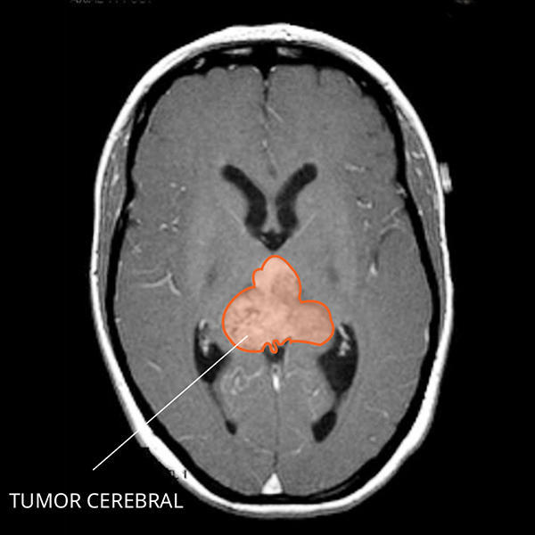
Tumor teratoide rabdoide atípico

Imagen por resonancia magnética (IRM) del tumor teratoide rabdoide atípico en el cerebro.

Imagen por resonancia magnética (IRM) del tumor teratoide rabdoide atípico en el cerebro.

Fuente: NCI-CONNECT

El tumor teratoide rabdoide atípico (TTRA) es un tumor primario del sistema nervioso central (SNC). Esto significa que se origina en el cerebro o la médula espinal.

¿Cuáles son los grados del TTRA?

Todos los TTRA se clasifican como tumores de grado IV. Esto significa que son malignos (cancerosos) y que crecen rápido.

¿A quiénes se diagnostican el TTRA?

El TTRA se presenta en niños y adultos, pero es muy poco común en ambos grupos. Solo se han publicado 50 casos en adultos. El TTRA es un poco más frecuente en los hombres que en las mujeres.

¿Qué causa el TTRA?

La mayoría de los TTRA se producen por alteraciones en el gen SMARCB1 (también llamado INI1). En condiciones normales, este gen codifica proteínas que detienen el crecimiento del tumor. Pero en el TTRA, el SMARCB1 no funciona bien y el tumor crece de forma descontrolada. En algunas personas, el SMARCB1 se encuentra alterado en su ADN, lo que significa que nació con este.

¿Dónde se forman los TTRA?

El TTRA puede formarse en cualquier parte del SNC. Suele aparecer en el cerebro y diseminarse a la médula espinal. En muy pocas ocasiones, el TTRA puede comenzar en la médula espinal. El TTRA se puede formar fuera del SNC, como en los riñones, pero esto es poco común. El TTRA se inicia a partir de varias células diferentes muy inmaduras que se llaman células embrionarias. Estas células son rabdoides, neuroepiteliales, epiteliales y mesenquimatosas.

Tumor teratoide rabdoide atípico (TTRA)

¿Se disemina el TTRA?

El TTRA puede crecer muy rápido. Por lo general, se disemina a otras áreas del SNC a través del líquido cefalorraquídeo (LCR).

¿Cuáles son los síntomas de un TTRA?

Los síntomas relacionados con un TTRA dependen de la localización del tumor y la edad del paciente. Algunos de los síntomas son los siguientes: dolores de cabeza por la mañana, vómitos, cambios en los niveles de actividad y pérdida del equilibrio. En los lactantes, a veces aumenta el tamaño de la cabeza. Dado que el TTRA crece rápido, los síntomas suelen empeorar rápido.

¿Cuáles son las opciones de tratamiento para el TTRA?

El primer tratamiento para un TTRA es la cirugía, si es posible. El objetivo de la cirugía es obtener tejido para determinar el tipo del tumor y extirpar la mayor cantidad posible de este sin que se produzcan más síntomas.

Después de la cirugía, las personas con TTRA, suelen recibir tratamientos adicionales después de la cirugía (como radiación o quimioterapia) o participar en ensayos clínicos. A veces hay otras opciones de tratamiento disponibles como la participación en ensayos clínicos con quimioterapia nueva, terapias dirigidas o medicamentos de inmunoterapia. El equipo médico decide el tratamiento según la edad del paciente, el tumor restante después de la cirugía, el tipo de tumor y la localización del tumor.

¿Cómo se ve un TTRA en las imágenes por resonancia magnética?

El TTRA suele ser un tumor muy grande con áreas llenas de líquido que brillan cuando se usa contraste. Con frecuencia se ven áreas de sangrado o necrosis (tejido muerto).

  • Actualización:

Si desea copiar algo de este texto, vea Derechos de autor y uso de imágenes y contenido sobre instrucciones de derechos de autor y permisos. En caso de reproducción digital permitida, por favor, dé crédito al Instituto Nacional del Cáncer como su creador, y enlace al producto original del NCI usando el título original del producto; por ejemplo, “Tumor teratoide rabdoide atípico publicada originalmente por el Instituto Nacional del Cáncer.”

¿Desea usar este contenido en su sitio web o en otra plataforma digital? En nuestra página de sindicación de contenidos le decimos cómo hacerlo.