Pasar al contenido principal
Un sitio oficial del Gobierno de Estados Unidos
English
Ante la falta de fondos del gobierno federal, no se actualizará este sitio web y la organización no responderá a transacciones ni consultas hasta que se aprueben los fondos. 

El Centro Clínico de los Institutos Nacionales de la Salud  (el hospital de investigación) permanecerá abierto.  Consulte cc.nih.gov (en inglés).

Infórmese sobre el funcionamiento del gobierno federal y el reinicio de las actividades en  opm.gov.

Enviar por correo electrónico

Células tumorales latentes pueden hacerse sensibles a la quimioterapia

, por Equipo del NCI

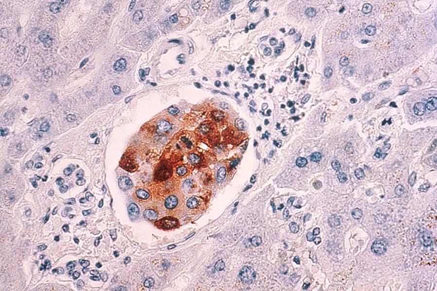
Células de cáncer metastático de seno en el hígado. Un nuevo enfoque se propone destruir células cancerosas latentes que se han diseminado a otras partes del cuerpo.

Fuente: Instituto Nacional del Cáncer

La expresión "jugar a las escondidas" probablemente nos hace pensar en niños riendo y disfrutando de un juego inofensivo. Pero deja de ser un juego cuando las que se esconden son las células tumorales. Las células tumorales que se han desplazado del órgano donde se formaron para ocultarse en otra parte del cuerpo, en determinado momento, pueden emerger para producir enfermedades metastáticas. Una vez que están ocultas, estas células son sumamente difíciles de destruir.

Para las mujeres con cáncer de seno (mama) y para pacientes con la mayoría de los otros tipos de cáncer, la capacidad para ocultarse de las células tumorales que se han diseminado plantea un riesgo de por vida de recidiva de cáncer.

"En la etapa inicial del avance tumoral, las células cancerosas salen del seno y [posiblemente] viajan a los ganglios linfáticos, la médula ósea, al hígado, los pulmones o al cerebro", dijo el doctor Cyrus Ghajar del Centro de Investigación Oncológica Fred Hutchinson en Seattle.

Estas células diseminadas pueden permanecer inactivas (es decir, latentes o en reposo) durante meses, años o incluso décadas.

"En muchos casos, el problema principal es la metástasis y no el cáncer original en sí mismo", dijo la doctora Nancy Boudreau, jefa de la Unidad de Metástasis Tumorales en la División de Biología Oncológica del NCI. "Y estas células metastáticas latentes se asemejan en cierta medida a una bomba de tiempo; no se sabe cuando volverán a emerger y comenzar a crecer".

Si fuese posible destruir a las células cancerosas antes de que emergieran de su latencia, existiría la posibilidad de impedir la formación de tumores metastáticos. Pero, según se piensa, la mayoría de los tratamientos disponibles para el cáncer solo actúan sobre las células que se dividen y no sobre las que están latentes.

En un estudio publicado el 21 de enero en Nature Cell Biology, un equipo de investigación dirigido por el doctor Ghajar realizado en ratones, mostró que al interrumpir la relación entre las células de cáncer de seno que se han diseminado al hueso y las células normales que las rodean, podían hacer que las células cancerosas escondidas se volvieran sensibles al tratamiento. Esto se cumplía independientemente de si las células cancerosas estaban dividiéndose o en estado latente.

"Este es el primer estudio que demuestra que las células tumorales diseminadas, cuando están inactivas, pueden responder a la quimioterapia", dijo el doctor Ghajar.

Interrupción del sistema de apoyo de las células tumorales

Las últimas dos décadas han llevado a una creciente concientización de que las células normales que rodean al tumor (lo que se denomina microambiente tumoral) son importantes para la supervivencia de las células cancerosas. Por lo tanto, el doctor Ghajar y sus colegas se preguntaron si, cuando las células cancerosas individuales se instalan en el hueso (un lugar común de las metástasis del cáncer de seno), las células normales protegen de la quimioterapia, en cierto grado, a las células cancerosas.

Comenzaron su trabajo averiguando en qué lugar del hueso exactamente se escondían las células de cáncer de seno. En sus experimentos iniciales, administraron fármacos quimioterapéuticos usados comúnmente para tratar cáncer de seno a ratones con implantes de células de cáncer de seno de ratón.

Cuando examinaron las muestras óseas de los ratones tratados con quimioterapia, los investigadores hallaron que la mayoría de las células tumorales que habían sobrevivido se agrupaban alrededor de los vasos sanguíneos dentro del hueso, un área denominada nicho perivascular.

En experimentos de seguimiento, usaron un tipo de cultivo celular tridimensional que imita al nicho perivascular para investigar con más profundidad si las células normales que se encontraban allí protegían en cierto grado a las células tumorales y, de ser así, para identificar cuáles estaban cumpliendo esa función.

Hallaron que las células endoteliales que revisten a los vasos sanguíneos servirían de guardianes de las células tumorales, protegiendo a muchas de ellas de los tres tipos de quimioterapia y de un tipo de terapia dirigida que probaron los investigadores.

Al profundizar la investigación, los investigadores identificaron a las moléculas que ayudarían a mantener vivas y seguras a las células tumorales mediante sus interacciones con las células endoteliales: las integrinas. Estas moléculas cumplen funciones a nivel fisiológico en los vasos sanguíneos normales y en la curación de heridas y quizá ayuden inadvertidamente a mantener vivas a las células tumorales, explicó el doctor Ghajar.

En sus experimentos finales, los investigadores usaron dos anticuerpos que actúan sobre las integrinas que consideraron más importantes para la supervivencia de las células tumorales. En su sistema de cultivo celular tridimensional, el tratamiento con estos anticuerpos en combinación con quimioterapia destruyó a la mayoría de las células tumorales ocultas en el nicho perivascular, incluidas a las células latentes. Los anticuerpos y la quimioterapia por sí solos no han logrado un efecto tan potente.

Cuando los ratones con implantes de células humanas de cáncer de seno recibieron tratamiento solo con quimioterapia, al cabo de un tiempo casi 75 % presentaron metástasis óseas. Pero cuando se administró el anticuerpo que actúa sobre las integrinas antes de la quimioterapia, solo se constataron metástasis en 22 % de los ratones.

Cuando se agregó el anticuerpo al tratamiento, no se observaron efectos secundarios más allá de los que normalmente se presentan con la quimioterapia, un resultado prometedor inesperado, dijo el doctor Ghajar.

Una oportunidad que no se debe dejar pasar

El hecho de que la combinación puede destruir las células tumorales latentes "es realmente algo muy bueno", dijo la doctora Boudreau, quien no participó en el estudio. Un enfoque que implique despertar las células tumorales diseminadas antes de poder destruirlas puede ser potencialmente peligroso, explicó la doctora: "porque si no se logra terminar con todas las células tumorales [con el tratamiento], se podría dejar de lado a un grupo que fue inducido a crecer".

El doctor Ghajar advirtió que aún hay mucho camino para recorrer antes de que se pueda probar en pacientes la combinación de un fármaco que actúe sobre integrinas y la quimioterapia. En su laboratorio recién se ha iniciado el trabajo de formular una versión del anticuerpo que actúa sobre las integrinas que pueda usarse en pacientes. Pero los resultados del estudio actual "nos dan una visión optimista de que esto podría funcionar en seres humanos sin efectos secundarios nocivos, y sin hacer que la enfermedad [metastática] empeore", dijo el doctor.

Están tratando también de obtener información sobre por qué casi un cuarto de sus ratones presentan metástasis óseas incluso con la terapia combinada. Las células endoteliales en el nicho perivascular secretan moléculas diferentes que facilitan la supervivencia celular cuando se las expone a la quimioterapia, explicó el doctor Ghajar. Es posible que algunas células tumorales puedan también aprovechar la capacidad de las moléculas para escapar los efectos del tratamiento.

"Quizá debamos enfocarnos en estas otras vías a fin de desplegar plenamente la capacidad de este tipo de terapia", dijo el doctor.

El doctor Ghajar agregó que aún queda por explorar si se ponen en marcha mecanismos similares en otros tipos de cáncer, y en otros órganos. Su opinión es que probablemente así sea, si bien los nichos y las moléculas comprometidas seguramente variarán de acuerdo con el tipo de cáncer y de órgano. Por ejemplo, aunque el cáncer de próstata se disemina también a los huesos, esas células tienden a ocultarse cerca de un tipo de célula que produce hueso llamada osteoblasto, en lugar de hacerlo en las células endoteliales, explicó el doctor.

Pero en general, vale la pena continuar estudiando el enfoque, agregó el doctor. El período que transcurre después de que las células tumorales se han diseminado hasta que han comenzado a crecer otra vez "es una oportunidad única y que no hemos podido aprovechar hasta el momento", expresó el doctor Ghajar. "Pero es posible hacerlo. Solo debemos averiguar cómo hacer que funcione en pacientes".

< Artículo anterior

Después de exámenes de detección de cáncer de pulmón, siguen procedimientos que pueden ser más riesgosos de lo esperado

Artículo siguiente >

Tratamiento para niños con leucemia eficaz también para adolescentes y adultos jóvenes

Si desea copiar algo de este texto, vea Derechos de autor y uso de imágenes y contenido sobre instrucciones de derechos de autor y permisos. En caso de reproducción digital permitida, por favor, dé crédito al Instituto Nacional del Cáncer como su creador, y enlace al producto original del NCI usando el título original del producto; por ejemplo, “Células tumorales latentes pueden hacerse sensibles a la quimioterapia publicada originalmente por el Instituto Nacional del Cáncer.”

Enviar por correo electrónico