Pasar al contenido principal
Un sitio oficial del Gobierno de Estados Unidos
English
Enviar por correo electrónico

¿Sirve la inteligencia artificial para ver el cáncer de formas nuevas y más eficaces?

, por el Equipo del NCI

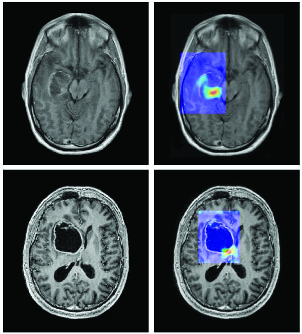
Un algoritmo de aprendizaje profundo programado para analizar imágenes por resonancia magnética pronostica una mutación en el gen IDH1 en los tumores de encéfalo.

Fuente: Fuente: CA Cancer J. Clin., marzo/abril de 2019. doi: 10.3322/caac.21552. CC BY 4.0.

Se presentan dos imágenes idénticas de formas borrosas en blanco y negro, una al lado de la otra, en una pantalla de computadora. En el lado izquierdo, el doctor Ismail Baris Turkbey, un radiólogo con 15 años de experiencia, marcó una zona con formas borrosas que representan lo que cree que es un cáncer de próstata en expansión. En el otro lado de la pantalla, un programa informático de inteligencia artificial (IA) hizo lo mismo, y los resultados son casi idénticos.

La imagen en blanco y negro es una resonancia magnética de alguien con cáncer de próstata, y el programa de IA analizó miles de estas imágenes.

“El modelo [de IA], sin supervisión humana, identifica la próstata y delinea zonas en las que se sospecha cáncer”, explicó el doctor Turkbey. Tiene la esperanza de que la IA ayude a los radiólogos con menos experiencia a detectar la presencia del cáncer de próstata y a descartar lo que podría confundirse con el cáncer.

Este modelo es solo un ejemplo simple de la intersección de la inteligencia artificial con la investigación del cáncer. Aunque parece haber un sinfín de posibles aplicaciones, muchos de los avances se han centrado en las imágenes del cáncer. 

Desde las radiografías de órganos enteros hasta las imágenes de células cancerosas en el microscopio, los médicos usan las pruebas con imágenes para muchos objetivos: detectar el cáncer en los estadios más tempranos; determinar el estadio de un tumor; saber si el tratamiento funciona; y vigilar si el cáncer vuelve después del tratamiento. 

En los últimos años, los investigadores elaboraron herramientas de IA para que las técnicas de obtención de imágenes del cáncer sean más rápidas, más precisas e incluso más informativas. Eso creó mucho entusiasmo.

“Hay mucho furor [en torno a la IA], pero también hay mucha investigación”, comentó la doctora Stephanie Harmon, una científica de datos en la División de Imágenes Moleculares del Instituto Nacional del Cáncer (NCI). 

Los expertos indican que esas investigaciones incluyen responder a preguntas como las siguientes: ¿están listas estas técnicas para ir de los laboratorios de investigación a los consultorios médicos?, ¿ayudarán a los pacientes? y ¿beneficiará a todos o solo algunos de los pacientes?

¿Qué es la inteligencia artificial?

La inteligencia artificial se refiere a programas informáticos (de computadora), o algoritmos, que usan datos para tomar decisiones o hacer pronósticos. Para crear un algoritmo, los científicos programan una serie de reglas o instrucciones, para que la computadora analice los datos y tome una decisión. 

Por ejemplo, el doctor Turkbey y sus colegas usaron reglas existentes sobre cómo se ve el cáncer de próstata en una imagen por resonancia magnética (IRM). A continuación, prepararon el algoritmo a partir de miles de estudios de imágenes por resonancia magnética, algunos de personas con cáncer de próstata y otros de personas sin cáncer.

Con otros métodos de inteligencia artificial, como el aprendizaje automático, el algoritmo se enseña solo a analizar e interpretar los datos. De este modo, los algoritmos de aprendizaje automático detectan patrones que el ojo o el cerebro humano no percibe con facilidad. Y a medida que estos algoritmos se exponen a más datos nuevos, mejora su capacidad para aprender e interpretar los datos. 

Los investigadores también usaron el aprendizaje profundo, un tipo de aprendizaje automático, en aplicaciones de obtención de imágenes de cáncer. El aprendizaje profundo se refiere a algoritmos que clasifican la información de formas muy parecidas a como lo hace el cerebro humano. Las herramientas de aprendizaje profundo usan “redes neuronales artificiales” que imitan la manera en que las células del cerebro captan y procesan las señales del resto del cuerpo, y cómo reaccionan a estas señales. 

Investigaciones sobre la IA para las imágenes del cáncer

Los médicos usan las pruebas con imágenes del cáncer para responder a una serie de preguntas, como las siguientes: ¿Es cáncer o un bulto no canceroso? Si es cáncer, ¿cuán rápido es el crecimiento? ¿Hasta dónde se diseminó? ¿Volvió después del tratamiento? Según algunos estudios, la IA tiene el potencial de mejorar la velocidad, la precisión y la confiabilidad con la que los médicos responden a esas preguntas. 

“La IA automatiza evaluaciones y tareas que los seres humanos pueden hacer en la actualidad, pero que llevan mucho tiempo”, comentó el doctor Hugo Aerts, de la Facultad de Medicina de Harvard. Después de que la IA da un resultado, “un radiólogo solo tiene que revisarlo. ¿Hizo la IA la evaluación correcta?”, continuó el doctor Aerts. Se espera que esta automatización ahorre tiempo y costos, pero aún falta comprobarla, añadió.

Además, la IA podría hacer que la tarea de interpretación de imágenes, que es muy subjetiva, sea más sencilla y confiable, señaló el doctor Aerts.

Comentó que, las tareas complejas que dependen de que “un ser humano interprete una imagen, es decir, un radiólogo, un dermatólogo o un patólogo, es donde observamos avances enormes con el aprendizaje profundo”.

Pero lo que más entusiasma a los científicos es la posibilidad de que la IA supere lo que los seres humanos pueden hacer en la actualidad. La IA puede “ver” cosas que los seres humanos no podemos ver, y puede encontrar patrones y relaciones complejas entre tipos de datos muy diferentes.

“La IA es muy eficaz en eso, en superar el rendimiento humano en muchas tareas”, indicó el doctor Aerts. Pero, en este caso, a menudo no queda claro cómo la IA llega a su conclusión, por lo que es difícil para los médicos y los investigadores comprobar si la técnica funciona de forma correcta. 

Detección temprana del cáncer

Los exámenes como la mamografía y la prueba de Papanicolaou se usan con regularidad en las personas para detectar signos de cáncer o de células precancerosas que quizás se conviertan en cáncer. El objetivo es detectar y tratar el cáncer en un estadio temprano, antes de que se disemine o incluso antes de que se forme. 

Los científicos elaboraron técnicas de IA para apoyar los exámenes de detección de varios tipos de cáncer, incluso el cáncer de seno (mama). Se han utilizado programas informáticos basados en IA para ayudar a los médicos a interpretar mamografías durante más de 20 años, pero la investigación en este campo ahora evoluciona con rapidez. 

Un grupo creó un algoritmo de IA que ayuda a determinar la frecuencia con la que una persona debe hacerse un examen de detección de cáncer de mama. El modelo usa las imágenes de las mamografías de una persona para pronosticar el riesgo de tener cáncer de mama en los próximos 5 años. En varias pruebas, el modelo fue más preciso que las técnicas actuales que se usan para pronosticar el riesgo de cáncer de mama.

Los investigadores del NCI crearon y probaron un algoritmo de aprendizaje profundo que identifica las lesiones precancerosas de cuello uterino que se deben extirpar o tratar. En algunos entornos de bajos recursos, los profesionales de la salud detectan cambios precancerosos al inspeccionar el cuello uterino con una cámara pequeña. Aunque este método es sencillo y viable, no es muy confiable ni preciso. 

El doctor y máster en Salud Pública Mark Schiffman, de la División de Epidemiología y Genética del Cáncer del NCI, y sus colegas diseñaron un algoritmo para mejorar la capacidad de identificar cambios precancerosos de cuello uterino con el método de inspección visual. En un estudio de 2019, el algoritmo obtuvo mejores resultados que los profesionales expertos.

Respecto al cáncer de colon, en estudios clínicos se demostró que varias técnicas de IA mejoran la detección de bultos precancerosos llamados adenomas. Sin embargo, como solo un porcentaje pequeño de adenomas se convierte en cáncer, a algunos expertos les preocupa que estas técnicas de IA lleven a tratamientos innecesarios y pruebas adicionales para muchos pacientes

Detección del cáncer 

También se demostró el potencial de la IA para mejorar la detección del cáncer en personas con síntomas. Por ejemplo, el modelo de IA que crearon el doctor Turkbey y sus colegas en el Centro de Investigación Oncológica (CCR) del NCI, podría facilitar a los radiólogos detectar un cáncer de próstata con un posible grado alto de malignidad en un tipo de resonancia magnética de próstata relativamente nuevo, que se llama resonancia magnética multiparamétrica.

Una imagen de resonancia magnética en blanco y negro de la próstata con una pequeña área resaltada en varios colores por una herramienta de IA.

En una resonancia magnética multiparamétrica de próstata, un modelo de IA creado por el doctor Turkbey destaca (en rojo) una zona en el cuerpo del paciente en la que se sospecha cáncer.

Fuente: Fuente: Foto por cortesía de la doctora Stephanie Harmon.

Aunque la resonancia magnética multiparamétrica genera una imagen más detallada de la próstata que una resonancia magnética normal, los radiólogos suelen necesitar años de práctica para interpretar estas imágenes con precisión, lo que causa desacuerdos entre los radiólogos que analizan la misma imagen.

El modelo de IA del equipo del NCI “podría facilitarles a los radiólogos el aprendizaje en la práctica y minimizar la tasa de error”, indicó el doctor Turkbey. Añadió que, el modelo de IA podría servir como un “experto virtual” para orientar a los radiólogos con menos experiencia que estén en el proceso de aprender a usar la resonancia magnética multiparamétrica.

Respecto al cáncer de pulmón, se elaboraron varios modelos de IA de aprendizaje profundo para ayudar a los médicos a identificar el cáncer de pulmón en las tomografías computarizadas (TC). Algunos cambios en los pulmones que no son cancerosos se parecen mucho al cáncer en las tomografías computarizadas, lo que genera una tasa alta de resultados positivos falsos de las pruebas que indican que una persona tiene cáncer de pulmón cuando en realidad no lo tiene. 

Los expertos creen que la IA podría distinguir mejor entre el cáncer de pulmón y los cambios que no son cancerosos en las tomografías, con la posibilidad de disminuir el número de resultados positivos falsos. Esto además evitaría el estrés, las pruebas de seguimiento y los procedimientos innecesarios para algunas personas. 

Por ejemplo, un equipo de investigadores preparó un algoritmo de aprendizaje profundo para identificar el cáncer de pulmón y evitar de forma específica otros cambios que parecen cáncer. En las pruebas de laboratorio, el algoritmo fue muy eficaz en descartar los cambios no cancerosos que se ven como cáncer y eficaz para identificar el cáncer.

Elección del tratamiento del cáncer 

Los médicos también usan las pruebas con imágenes para obtener información importante sobre el cáncer, como la velocidad de crecimiento, si se diseminó y si es probable que vuelva después del tratamiento. Esta información ayuda a los médicos a elegir el tratamiento más adecuado para sus pacientes. 

Según varios estudios, la IA tiene el potencial de recopilar información pronóstica de ese tipo y, quizás incluso más, de las pruebas con imágenes, y con mayor precisión que los seres humanos hoy en día. Por ejemplo, la doctora Harmon y sus colegas crearon un modelo de aprendizaje profundo que determina la probabilidad de que una paciente con cáncer de vejiga necesite otros tratamientos además de la cirugía.

Los médicos calculan que alrededor del 50 % de las personas con tumores en el músculo de la vejiga (cáncer de vejiga con invasión muscular) tienen grupos de células cancerosas que se diseminaron fuera de la vejiga, pero que son demasiado pequeños para detectarlos con las técnicas tradicionales. Si no se eliminan estas células ocultas, seguirán multiplicándose después de la cirugía y provocarán una recaída. 

La quimioterapia destruye estos grupos de células microscópicos y evita que el cáncer vuelva después de la cirugía. Pero los estudios clínicos demostraron que es difícil determinar qué pacientes necesitan quimioterapia además de la cirugía, comentó la doctora Harmon. 

Explicó que, “nos gustaría usar este modelo antes de que los pacientes reciban cualquier tratamiento para saber qué pacientes tienen cáncer con una probabilidad alta de diseminación, y para que los médicos tomen decisiones informadas”.

El modelo examina las imágenes digitales del tejido del tumor primario para pronosticar si hay grupos microscópicos de cáncer en los ganglios linfáticos cercanos. En un estudio de 2020, se demostró que el modelo de aprendizaje profundo fue más preciso que la técnica estándar para pronosticar si el cáncer de vejiga se diseminó, que se basa en una combinación de factores que incluyen la edad del paciente y las características específicas del tumor. 

Cada vez se usa más información genética sobre el cáncer de los pacientes para ayudar a seleccionar el tratamiento más adecuado. Algunos científicos de China crearon una técnica de aprendizaje profundo para pronosticar la presencia de mutaciones genéticas clave a partir de imágenes de tejido de cáncer de hígado, algo que los patólogos no pueden hacer con tan solo mirar las imágenes.

Esta técnica es un ejemplo del funcionamiento misterioso de la IA: los científicos que crearon el algoritmo no saben cómo detecta las mutaciones genéticas presentes en el tumor.

¿Están listas las técnicas de IA para las imágenes del cáncer?

Aunque los científicos crean muchas técnicas de IA para las imágenes del cáncer, sigue siendo un campo nuevo y quedan muchas preguntas sin responder sobre sus aplicaciones prácticas. 

Si bien se demostró la precisión de cientos de algoritmos en pruebas iniciales, la mayoría de estos no están en la siguiente fase de prueba en la que se asegura que están listos para el mundo real, comentó la doctora Harmon.  

Esa prueba, que se conoce como validación externa o independiente, “nos indica el grado de generalización de un algoritmo. Es decir, ¿hasta qué punto es útil el algoritmo en un paciente diferente? ¿Cómo funciona en pacientes de distintos centros [médicos] o con imágenes de diferentes escáneres?”, explicó la doctora Harmon. En otras palabras, ¿funciona la técnica de IA con precisión con datos diferentes a los que se alimentaron?

Añadió que, los algoritmos de IA que superen pruebas de validación rigurosas en grupos de personas diversos de varias zonas del mundo se podrían usar de forma más generalizada y, por lo tanto, ayudarían a más personas.

Además de la validación, el doctor Turkbey señaló que también es necesario que en los estudios clínicos se demuestre el beneficio real de las técnicas de IA para los pacientes, ya sea porque evitan el cáncer en las personas, les prolonga la vida, les mejora la calidad de vida o les ahorrar tiempo o dinero. 

Pero incluso después de eso, continuó el doctor Aerts, queda una pregunta importante sobre la IA: “¿cómo nos aseguramos de que estos algoritmos sigan funcionando y siendo eficaces con el paso de los años?”. Por ejemplo, explicó, en los escáneres nuevos podrían cambiar las características de la imagen en las que se basa una técnica de IA para hacer pronósticos o interpretaciones. Y eso podría cambiar su rendimiento. 

También hay preguntas sobre cómo se regularán las técnicas de IA. Desde 2020, la Administración de Alimentos y Medicamentos (FDA) aprobó más de 60 dispositivos médicos o algoritmos basados en la IA. Pero incluso después de recibir aprobación, algunos algoritmos de aprendizaje automático cambian al exponerse a datos nuevos. En 2021, la FDA publicó pautas para supervisar las técnicas de IA que tienen capacidad de adaptación.

También hay preocupaciones sobre la transparencia de algunas técnicas de IA. En cuanto a algunos algoritmos, como el que pronostica las mutaciones genéticas en los tumores de hígado, los científicos no saben cómo llegan a sus conclusiones, un enigma conocido como el “problema de la caja negra”. Los expertos afirman que esta falta de transparencia impide realizar comprobaciones críticas para detectar sesgos e imprecisiones. 

En un estudio reciente, por ejemplo, se demostró que un algoritmo de aprendizaje automático preparado para pronosticar desenlaces del cáncer se centró en el hospital donde se tomó la imagen del tumor, en vez de en las características biológicas del tumor del paciente. Los investigadores advirtieron que, aunque ese algoritmo no se usa en ningún entorno médico, otras técnicas preparadas de la misma forma podrían imprecisas.

Además, hay inquietudes de que la IA empeore las diferencias en los desenlaces de salud entre los grupos privilegiados y los desfavorecidos al agravar los prejuicios que ya están integrados en el sistema médico y en los procesos de investigación, comentó la doctora y máster en Salud Pública Irene Dankwa-Mullan, subdirectora y encargada de equidad en salud de IBM Watson Health. 

En la conferencia de 2021 de la Asociación Estadounidense de Investigación Oncológica (AACR) titulada “La ciencia de las desigualdades en salud por cáncer”, explicó que estos prejuicios están muy arraigados en los datos que se usan para crear los modelos de IA. 

Por ejemplo, hace poco se demostró que unos cuantos algoritmos médicos son menos precisos para la población negra que para la población blanca. Los expertos señalaron que estas deficiencias potencialmente peligrosas se deben a que los algoritmos se prepararon y validaron en su mayoría con datos de pacientes blancos.

Por otro lado, algunos expertos creen que la IA podría mejorar el acceso al tratamiento del cáncer al llevar atención especializada a los hospitales que carecen de especialistas. 

“Lo que [la IA] puede ofrecer en un entorno en el que hay médicos que quizás no tengan tanta experiencia es la posibilidad de elevar su desempeño a un nivel de experto”, explicó la doctora Harmon.

Algunas herramientas de IA podrían incluso evitar la necesidad de usar equipos sofisticados. Por ejemplo, el algoritmo de aprendizaje profundo para el examen de detección del cáncer de cuello uterino que elaboró el doctor Schiffman, se basa en teléfonos celulares o cámaras digitales y en materiales de bajo costo. 

A pesar de estas preocupaciones, la mayoría de los investigadores se muestran optimistas respecto al futuro de la IA en la atención del cáncer. El doctor Aerts, por ejemplo, cree que estos obstáculos se superarán con más trabajo y colaboración entre los expertos en ciencia, medicina, gobierno y aplicación comunitaria.

Comentó que, “creo que a la larga [las técnicas de IA] se introducirán en la clínica porque el rendimiento es tan bueno que si no lo hiciéramos sería un desperdicio”.

< Artículo anterior

Las mujeres tienen más efectos secundarios graves por el tratamiento oncológico que los hombres

Artículo siguiente >

La darolutamida prolonga la supervivencia de algunas personas con cáncer de próstata metastásico

Si desea copiar algo de este texto, vea Derechos de autor y uso de imágenes y contenido sobre instrucciones de derechos de autor y permisos. En caso de reproducción digital permitida, por favor, dé crédito al Instituto Nacional del Cáncer como su creador, y enlace al producto original del NCI usando el título original del producto; por ejemplo, “¿Sirve la inteligencia artificial para ver el cáncer de formas nuevas y más eficaces? publicada originalmente por el Instituto Nacional del Cáncer.”

Enviar por correo electrónico