Skip to main content
An official website of the United States government
Government Funding Lapse
Because of a lapse in government funding, the information on this website may not be up to date, transactions submitted via the website may not be processed, and the agency may not be able to respond to inquiries until appropriations are enacted.

The NIH Clinical Center (the research hospital of NIH) is open. For more details about its operating status, please visit cc.nih.gov.

Updates regarding government operating status and resumption of normal operations can be found at opm.gov.

OHAM Research Activities

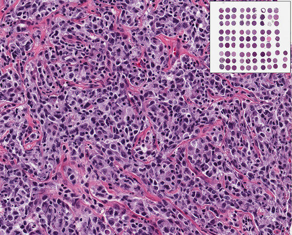
""

AIDS lymphoma tissue micro-array and a photomicrograph of AIDS lymphoma.

OHAM programs extend across the spectrum of research, training, international studies, and clinical trials to address the clinically, socially, and demographically diverse population of HIV/AIDS patients. OHAM contributes to and has shared oversight for a number of training, research, and clinical trial efforts across the NIH and beyond.

OHAM-Managed Research Activities

As the epidemic evolves and the needs of patients change shape, OHAM programs are at the forefront of identifying and delivering the most effective prevention, diagnosis, and treatment for patients impacted by HIV/AIDS and HIV-associated malignancies.

AIDS and Cancer Specimen Resource

The AIDS Cancer Specimen Resource (ACSR) is a biorepository for HIV-infected human biospecimens obtained from a wide spectrum of HIV-related or associated diseases, including cancer, and from appropriate HIV-negative controls.

AIDS Malignancy Consortium

The AIDS Malignancy Consortium (AMC) is an NCI-supported clinical trials group founded in 1995 to support innovative trials for HIV-associated malignancies.

International Conference on Malignancies in HIV/AIDS (ICMH)

The International Conference on Malignancies in HIV/AIDS (ICMH), formerly known as The International Conference on Malignancies in AIDS and Other Acquired Immunodeficiencies (ICMAOI), is a conference presented by the Office of HIV and AIDS Malignancy.

Strengthening Capacity for Research for HIV-Associated Malignancies in Low- and Middle-Income Countries (LMICs)

NCI and the Fogarty International Center (FIC) have partnered in several efforts for developing research capacity in LMICs on HIV-associated cancers.

Trans-NIH and Other Collaborative Activities

OHAM interfaces with the Office of AIDS Research and other Institutes and Centers to coordinate HIV/AIDS training, research, and clinical trial efforts conducted throughout the NIH more effectively. Also, OHAM has shared oversight for a number of the trans-NIH and other collaborative programs described below.

Centers for AIDS Research (CFAR)

The CFAR program at the National Institutes of Health (NIH) provides administrative and shared research support to enhance and coordinate high quality HIV research projects, including HIV-associated malignancies. CFARs accomplish this through core facilities that provide expertise, resources, and services not otherwise readily obtained through more traditional funding mechanisms. Co-funded by seven NIH Institutes, CFARs promote interdisciplinary collaboration to accelerate translation of laboratory findings into clinical applications.

Fogarty International Center's HIV Research Training Program

The HIV Research Training Program provides training for scientists from institutions in low- and middle-income countries to strengthen HIV-related research. Institutions in the United States with strong HIV-related research training experience receive grants to establish full research training programs at institutions in these countries. The collaborative effort enables the development of multidisciplinary biomedical, behavioral, and social science research capacities for the prevention, care, and treatment of HIV/AIDS and HIV-related conditions in resource-poor settings. The NCI partners with the HIV Research Training Program grantees to expand research training related to HIV-associated malignancies in these countries.

The International Epidemiological Databases to Evaluate AIDS (IeDEA)

The IeDEA is a consortium of regional centers that collect and harmonize high quality data from HIV/AIDS research efforts throughout the world. This initiative provides a means to effectively pool the collected data—thus providing a cost effective avenue of generating large data sets that can address unique and evolving research questions in HIV/AIDS, including cancer-related questions, currently unanswerable by single cohorts.

Multicenter AIDS Cohort Study (MACS) and the Women's Interagency HIV Study (WIHS) Combined Cohort Study

The Multicenter AIDS Cohort Study (MACS) and the Women's Interagency HIV Study (WIHS) combined to form the MACS/WIHS Combined Cohort Study (MACS/WIHS-CCS). The new combined cohort will focus on studies addressing HIV-related comorbidities including malignancies, cardiovascular, pulmonary, hematological, brain and central nervous system, oral and dental health, and women's and men's health. For decades the National Institute of Allergy and Infectious Diseases (NIAID) was the primary steward of the MACS and WIHS but in 2019 the National Heart, Lung, and Blood Institute (NHLBI) became the primary steward for the MACS/WIHS-CCS.

The MACS was established in 1984 to investigate the epidemiology of HIV infection. The study enrolled men who have sex with men (MSM), reflecting the highest risk at the time, and focused on acquired immunodeficiency syndrome (AIDS) as a primary outcome. Ten years later, the WIHS was established to study HIV infection in women using similar methodology. Both studies have provided a better understanding of both the natural and treated history of HIV infection in the United States. NCI supported both the MACS and WIHS to provide data on the incidence of AIDS-defining and non-AIDS defining cancers and to conduct studies to better understand the pathogenesis of certain cancers. Data and specimens collected from study participants have been compiled in a National Repository that serves as a highly valuable resource in deepening the understanding of the pathogenesis of the disease. Data and specimens collected from the MACS/WIHS-CCS will become part of this resource.

U.S.-South Africa Program for Collaborative Biomedical Research

The purpose of this initiative is to foster, stimulate, and/or expand basic, translational, behavioral and applied research that will advance scientific discovery and engage U.S. and South African researchers working collaboratively in the areas of TB, HIV/AIDS biomedical and behavioral science, and HIV-related co-morbidities, including malignancies. NCI’s participation in this initiative will enhance scientific knowledge in HIV-related malignancies and increase collaborations between U.S. and South African investigators. The establishment of this collaborative is supported by research project grant (R01) RFA-AI-19-022.

International Activities

The global burden of people living with HIV is estimated to be 33.3 million. The developing world, especially sub-Saharan Africa, is the region most affected by the epidemic. These same regions are also experiencing a continued increase in AIDS-defining malignancies; as access to antiretroviral therapy becomes more widespread and people are no longer dying from opportunistic infections, non-AIDS defining malignancies will begin to have a major impact. A number of OHAM activities are addressing this global burden of HIV/AIDS and HIV-associated malignancies, either as their main focus or as part of a larger endeavor. The OHAM activities with a substantial international component include:

  • AIDS and Cancer Specimen Resource
  • AIDS Malignancy Consortium
  • Centers for AIDS Research (CFAR)
  • Fogarty HIV Research Training Program
  • The International Epidemiological Databases to Evaluate AIDS (IeDEA)
  • U.S.-Russia Bilateral Collaborative Research Partnerships (CRP) on the Prevention and Treatment of HIV/AIDS and HIV-Associated Comorbidities
  • U.S.-South Africa Program for Collaborative Biomedical Research
  • Strengthening Capacity for Research for HIV-Associated Malignancies in Africa
  • Posted:
Email