Temas y relatos: Un blog sobre la investigación del cáncer
Blog que presenta las noticias y las últimas investigaciones del Instituto Nacional del Cáncer.
-
El toripalimab es el primer medicamento de inmunoterapia aprobado para el cáncer de nasofaringe
La Administración de Alimentos y Medicamentos (FDA) aprobó el toripalimab (Loqtorz) a partir de los resultados de un estudio clínico grande en el que se demostró que añadirlo a la quimioterapia prolongó la supervivencia de las personas con cáncer de nasofaringe que volvió después del tratamiento inicial o se diseminó.
-
Las clases virtuales de acondicionamiento físico-mental muestran beneficios inesperados en las personas con cáncer
En un estudio clínico, fue menos probable que las personas en tratamiento de cáncer se hospitalizaran cuando participaban en clases virtuales de acondicionamiento físico-mental. Cuando fueron hospitalizadas, tuvieron estadías más breves que quienes no tomaron las clases.
-
Después de un resultado anormal en un examen de detección del cáncer, distintos recordatorios aumentan el seguimiento
En un estudio clínico, una simple carta y una llamada telefónica aumentaron el número de personas que se hicieron las pruebas de seguimiento recomendadas después de un resultado anormal en un examen de detección del cáncer.
-
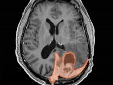
Una firma genética quizás ayude a personalizar el tratamiento del meningioma
En un estudio nuevo, se indicó que la actividad de 34 genes pronostica mejor la malignidad de los meningiomas. Esta firma de expresión genética ayuda a los oncólogos a seleccionar los mejores tratamientos para las personas con este tipo común de cáncer de encéfalo en comparación con los métodos vigentes.
-
Resultados prometedores del tarlatamab para algunas personas con cáncer de pulmón de células pequeñas
El tarlatamab, un nuevo tipo de inmunoterapia dirigida, achicó los tumores del cáncer de pulmón de células pequeñas (CPCP) en más del 30 % de los participantes en un estudio clínico de fase temprana. Los participantes tenían CPCP que progresó a pesar de tratamientos anteriores con otros medicamentos.
-
Hallazgo monumental amplía las opciones de tratamiento para el cáncer de vejiga
Por primera vez en décadas, las personas con cáncer de vejiga avanzado tienen opciones de tratamiento más eficaces. Según varios expertos en cáncer de vejiga, los resultados de un nuevo estudio clínico marcan un momento crucial después de años de poco avance.
-
Robo molecular: las células cancerosas secuestran la energía de las células inmunitarias
En un nuevo estudio se observó que, en algunos tumores, hay un subconjunto de células cancerosas que roban mitocondrias (estructuras celulares diminutas que producen energía) de las células T para satisfacer su necesidad de energía.
-
La Administración de Alimentos y Medicamentos modificó la aprobación del pembrolizumab para tratar el cáncer de estómago y el cáncer de la unión gastroesofágica
La Administración de Alimentos y Medicamentos (FDA) modificó la aprobación de 2021 para el uso del pembrolizumab (Keytruda) en combinación con el trastuzumab (Herceptin) y la quimioterapia para tratar el cáncer de estómago o el cáncer de unión gastroesofágica con HER2. La FDA también anunció una nueva aprobación del pembrolizumab para tratar los mismos cánceres sin HER2.
-
El selpercatinib demora la progresión de los cánceres de pulmón y de tiroides medular que presentan alteraciones en el gen RET
Para las personas con cáncer de pulmón y cáncer de tiroides medular que tienen tumores con cambios en el gen RET, el selpercatinib mejoró la supervivencia sin progresión en comparación con otros tratamientos comunes, según un nuevo estudio clínico.
-
Se autorizó una prueba de sangre para evaluar el riesgo de cánceres hereditarios
Por primera vez, la Administración de Alimentos y Medicamentos (FDA) autorizó la comercialización de una prueba de sangre llamada Common Hereditary Cancers Panel, que fabrica Invitae, para detectar cambios genéticos hereditarios que aumentan el riesgo de ciertos tipos de cáncer.
-
Se revelan deficiencias en la supervisión de la salud emocional de los cuidadores
En una encuesta realizada en más de 100 clínicas oncológicas comunitarias de los Estados Unidos, se encontró que en solo el 16 % se hacían evaluaciones rutinarias a los cuidadores informales de pacientes para detectar el sufrimiento. En cambio, en más del 90 % de las clínicas se evaluaba con regularidad a los pacientes para detectar el sufrimiento y se los remitía a servicios de atención de apoyo.
-
El estudio ENLACE explora el cáncer colorrectal en las personas hispanas y latinas
ENLACE es el primer estudio en usar tecnologías de vanguardia para describir las características moleculares de los tumores colorrectales en las personas de ascendencia hispana o latina. Los objetivos del estudio son mejorar los tratamientos y aumentar la participación de esta población en la investigación del cáncer.
-
¿Está lista la inteligencia artificial para ser protagonista en la detección del cáncer colorrectal?
Según dos estudios, el uso de la detección asistida por computadora (CAD) durante la colonoscopia no ayudó a encontrar adenomas avanzados, que son las lesiones con más probabilidad de convertirse en cáncer colorrectal. Los investigadores coincidieron en que la CAD, impulsada por la tecnología de inteligencia artificial, aún necesita perfeccionarse.
-
¿Pueden los chatbots de inteligencia artificial dar respuestas correctas sobre el cáncer?
¿Ofrecen los chatbots con IA información precisa sobre el cáncer y el tratamiento a las personas? Al parecer, la respuesta es que aún no. Los resultados de dos estudios indicaron que, aunque los chatbots con IA recopilan información sobre el cáncer de fuentes confiables, sus respuestas a preguntas sobre el tratamiento y otros temas pueden incluir errores y omisiones.
-
El consumo excesivo de alcohol es común en las personas con cáncer y los sobrevivientes de cáncer a largo plazo
En un nuevo estudio, muchas personas que recibían tratamiento de cáncer y los sobrevivientes a largo plazo notificaron que bebían alcohol en forma habitual, en algunos casos demasiado y con frecuencia. Los encargados del estudio señalaron que los hallazgos son “un llamado de alerta” para los proveedores de atención del cáncer.
-
Ponerse al día con las pruebas del virus del papiloma humano quizás evite el cáncer de cuello uterino en algunas mujeres mayores de 65 años
Según los resultados de un estudio en Dinamarca, tal vez valga la pena que algunas mujeres de 65 a 69 años se hagan la prueba de detección del virus del papiloma humano (VPH). En particular, la prueba quizás ayude a prevenir el cáncer de cuello uterino en las mujeres que no recibieron exámenes de detección del cáncer de cuello uterino desde hace al menos 5 años.
-
Un medicamento para el colesterol quizás proteja el corazón de las personas con linfoma durante la quimioterapia
Según los resultados de un estudio clínico, la atorvastatina (Lipitor), un medicamento para bajar el colesterol, quizás ayude a disminuir el riesgo de insuficiencia cardíaca en las personas con linfoma que reciben medicamentos de quimioterapia llamados antraciclinas. Las antraciclinas, como la doxorrubicina, se usan para tratar muchos tipos de cáncer.
-
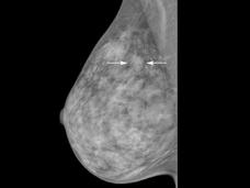
Otro estudio se suma al debate sobre las mamografías en las mujeres mayores
Para las mujeres de 70 o más años, hay un riesgo importante de sobrediagnóstico por el uso de las mamografías de detección de rutina, según un nuevo estudio. Los hallazgos resaltan la necesidad de que las mujeres mayores y los profesionales de la salud conversen sobre los posibles beneficios y daños de continuar con las mamografías de detección.
-
Participación de las personas con glioma de grado bajo en la investigación del cáncer
OPTIMUM es un estudio que financia el NCI y es parte de la Misión contra el Cáncer (Cancer Moonshot℠), para mejorar la atención de las personas con glioma de grado bajo (un tipo de tumor de encéfalo), que incluye incorporarlas en la investigación sobre el glioma.
-
La aprobación del quizartinib añade una nueva opción para tratar la leucemia mieloide aguda, incluso en las personas mayores
Hay una nueva opción de tratamiento para las personas con leucemia mieloide aguda. El 20 de julio, la FDA aprobó el quizartinib (Vanflyta) combinado con quimioterapia como tratamiento de primera línea para la LMA que presenta un cambio específico en el gen FLT3.