CBIIT News
Keep up with the latest news from CBIIT and the data science communities.
-
CCDI's Pediatric In Vivo Testing Program Releases Molecular Characterization Data
The Childhood Cancer Data Initiative (CCDI) released data from four studies that leverage patient-derived xenograft samples for preclinical screenings of potential pediatric cancer drugs.
-
CCDI Central Hub Links Researchers to Childhood Cancer Data Resources
Learn about a rapidly growing inventory of data, tools, and related resources on childhood cancer data through NCI’s CCDI new online Hub.
-
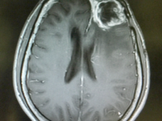
Researchers Use AI-based Modeling to Assess Treatment and Predict Survival from Glioblastoma
See how these NCI-funded researchers working with artificial intelligence (AI) used information from a survival model to refine treatment for glioblastoma.
-
Navigating the 2024 NIH Public Access Policy
NIH is updating its Public Access Policy to ensure free, immediate access to taxpayer-funded research. Starting July 1, 2025, researchers must submit Author Accepted Manuscripts to PubMed Central without embargo, regardless of authorship or funding.