Pasar al contenido principal
Un sitio oficial del Gobierno de Estados Unidos
English
Ante la falta de fondos del gobierno federal, no se actualizará este sitio web y la organización no responderá a transacciones ni consultas hasta que se aprueben los fondos. 

El Centro Clínico de los Institutos Nacionales de la Salud  (el hospital de investigación) permanecerá abierto.  Consulte cc.nih.gov (en inglés).

Infórmese sobre el funcionamiento del gobierno federal y el reinicio de las actividades en  opm.gov.

Enviar por correo electrónico

Problemas cardíacos: investigación de los efectos secundarios cardíacos de tratamientos del cáncer

, por Equipo del NCI

Fuente: iStock

En junio, la sede de los Institutos Nacionales de la Salud (NIH) en Bethesda, MD, recibió a aproximadamente 100 investigadores que concurrieron a un taller de capacitación sobre un efecto secundario importante, pero menospreciado, de algunos tratamientos del cáncer: los problemas del corazón.

Determinados tratamientos del cáncer pueden dañar al corazón y al aparato circulatorio. Estos efectos secundarios, como hipertensión, ritmo cardíaco anormal e insuficiencia cardíaca, pueden ser causados o exacerbados por la quimioterapia y la radioterapia, así como por las modalidades más nuevas de tratamiento del cáncer, por ejemplo, las terapias dirigidas y las inmunoterapias.

"Las terapias del cáncer afectan a varios órganos y sistemas orgánicos, incluido el corazón", dijo el doctor Saro Armenian, en la reunión. El doctor Armenian, que trata a niños con cáncer en el Centro Oncológico Integral City of Hope, señaló que, cuando un paciente padece efectos secundarios cardíacos durante el tratamiento, los doctores pueden modificar las dosis o detener la terapia por completo.  

Sin embargo, algunos efectos secundarios cardíacos no se detectan hasta años o incluso décadas después de que el tratamiento del paciente ha terminado. "En la actualidad, los pacientes diagnosticados con cáncer viven más tiempo que en el pasado, y muchos de estos supervivientes viven lo suficiente como para padecer efectos cardiovasculares tardíos", dijo en una entrevista la doctora Lori Minasian, subdirectora de la División de Prevención del Cáncer del NCI.  

En años recientes, continuó la doctora Minasian, los investigadores han comenzado a documentar en forma sistemática los efectos secundarios cardiovasculares a largo plazo de los tratamientos del cáncer, denominados también cardiotoxicidades.

En el taller de capacitación sobre cómo mejorar los resultados de la cardiotoxicidad relacionada con el tratamiento, participantes del gobierno y de los sectores académicos y privados identificaron las brechas en los conocimientos actuales y discutieron las prioridades para las investigaciones futuras. El NCI y el Instituto Nacional del Corazón, Pulmón y Sangre (NHLBI) patrocinaron la reunión. 

Investigación de una variedad de efectos secundarios cardíacos relacionados con el tratamiento

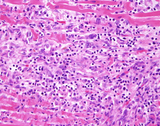
Tejido cardíaco de un paciente tratado con un inhibidor de puntos de control inmunitario que muestra células T (puntos azules) que invaden las fibras musculares en el corazón.

Fuente: Doctor Javid Moslehi, Universidad de Vanderbilt

El taller de capacitación destacó un desafío para la disciplina (denominada cardioncología): identificar e investigar los efectos secundarios cardíacos asociados a los cambios vertiginosos de los tratamientos del cáncer y de las combinaciones de distintas terapias.

Por ejemplo, a medida que en la práctica clínica se han comenzado a usar más y más inmunoterapias en años recientes, los investigadores comenzaron a detectar efectos secundarios cardíacos específicos que pueden ocurrir durante el tratamiento con algunos de estos fármacos.

Un reciente estudio demostró que un pequeño porcentaje de pacientes que reciben fármacos de inmunoterapia denominados inhibidores de puntos de control inmunitario, presentan la inflamación del músculo cardíaco denominada miocarditis. En ese estudio, casi la mitad de los pacientes que padecieron miocarditis grave, murieron debido a esta complicación.

"En un número pequeño pero significativo de pacientes, se presenta un desenlace mortal por el uso de inhibidores de puntos de control inmunitario que está relacionado directamente con el corazón", dijo el doctor Javid Moslehi, quien dirige el Programa de Cardioncología del Centro Oncológico Vanderbilt-Ingram y estuvo a cargo del estudio. (Otros estudios han estimado que la incidencia de miocarditis en pacientes que reciben inhibidores de puntos de control es alrededor de 1 %.)

Aunque los estudios sobre la miocarditis debida a inhibidores de puntos de control ha "creado gran interés", muchas otras terapias para el cáncer pueden causar efectos cardiovasculares adversos, señaló el doctor.

"No estamos prestando la debida atención a otras manifestaciones de toxicidad cardiovascular por fármacos del cáncer más allá de doxorrubicina", continuó el doctor Moslehi, haciendo referencia al fármaco de quimioterapia comúnmente usado que ha sido el foco de numerosos estudios sobre cardiotoxicidad durante la década pasada. "Debemos tener una perspectiva más amplia".

La doctora Susan Dent, una de las directoras de Cardioncología en la Universidad de Duke, estuvo de acuerdo. La doctora puntualizó que los doctores y sus pacientes necesitan información sobre los posibles efectos secundarios cardíacos de los fármacos para el cáncer desde el momento en que estos medicamentos están disponibles para su uso clínico.

"No queremos esperar hasta que haya pasado una década y después diseñar un estudio para saber sobre las cardiotoxicidades asociadas a un fármaco para cáncer", dijo la doctora.   

Compartir historias de pacientes que murieron en forma prematura

A fin de ilustrar la grave naturaleza de las cardiotoxicidades y para vincular la parte humana de la situación, varios presentadores en el taller de capacitación compartieron historias de personas que murieron en forma prematura debido a problemas del corazón relacionados con las terapias del cáncer, entre ellas, Ellen Stovall.

Stovall, defensora destacada de los supervivientes de cáncer que formaron parte de una junta asesora del NCI, había sido tratada por tres tipos de cáncer diferentes durante muchos años. Algunas de las terapias derivaron en problemas crónicos de salud, y hace casi 2 años, a los 69 años de edad, Stovall falleció en forma repentina. La causa de su muerte fue por complicaciones de una enfermedad cardiovascular debida a sus tratamientos del cáncer.

Otro ejemplo que se compartió en la reunión fue el de una mujer que padeció una enfermedad del corazón relacionada con los tratamientos por múltiples cánceres que llevaron a una operación de emergencia para realizar una derivación triple. La paciente murió a los 47 años de edad.

"No tiene sentido curar a los pacientes de un tipo de cáncer, para que luego padezcan un segundo cáncer y problemas cardíacos relacionados con el tratamiento que requieren una derivación triple" antes de los 50 años, comentó la doctora Dent.

Se necesitan estudios que sirvan como base para las decisiones clínicas

Es también necesario hacer más investigaciones que sirvan como base para las decisiones clínicas sobre tratamientos del cáncer y efectos secundarios cardíacos. "Oncólogos y cardiólogos desean poder llevar a la práctica pautas basadas en evidencia para la atención de pacientes, pero para ello deben hacerse más estudios", dijo la doctora Minasian.  

El doctor Chau Dang, médico oncólogo en el Centro Oncológico Memorial Sloan-Kettering, resumió las cuestiones críticas en "quién, cuándo y cómo". Esto es, ¿quiénes deben seguir controles médicos para detectar problemas cardiovasculares, cuándo deberán realizarse estos controles y cómo deberán hacerse?

El taller de capacitación incluyó discusiones sobre biomarcadores de alteraciones cardíacas, como troponina, que es un complejo de proteínas que se libera cuando el músculo cardíaco sufre daños. Estos biomarcadores se elaboraron para pacientes con enfermedades del corazón pero no para pacientes con cáncer que padezcan efectos secundarios cardíacos inducidos por el tratamiento.

En vista de ello, no está claro si los biomarcadores de alteraciones cardiovasculares pueden usarse para evaluar el riesgo de efectos secundarios cardíacos o para los controles de la salud cardiovascular en pacientes que reciben tratamiento del cáncer o quienes son supervivientes a largo plazo. "No sabemos si el patrón de daños por fármacos anticancerosos es el mismo que el patrón de daños por enfermedades del corazón de nueva aparición", dijo la doctora Minasian. 

De todas maneras, varios presentadores hicieron énfasis en la necesidad de determinar si las alteraciones cardiovasculares de los pacientes son debidas a las terapias del cáncer, y en saber cómo deberán usarse dichos biomarcadores, en particular dado que existen otras pruebas, como las pruebas con imágenes.

"Por el momento, no está claro en qué pacientes deberán usarse cuáles combinaciones de biomarcadores y pruebas con imágenes, ni tampoco cuándo", dijo la doctora Dent. 

Cómo entender cuáles terapias del cáncer causan daños al aparato circulatorio

La doctora Aarti Asnani, cardióloga del Programa de Cardioncología del Centro Médico Beth Israel Deaconess, dijo en una entrevista, "ahora contamos con biomarcadores de lesiones cardíacas que son generales y relativamente no específicos".

La doctora señaló que la formulación de nuevos biomarcadores requerirá "un entendimiento más profundo de los mecanismos de cardiotoxicidad, así como también de ensayo clínicos de distribución al azar más grandes para la validación".

En el taller de capacitación, varios participantes recalcaron también la importancia de saber más sobre cómo los tratamientos del cáncer pueden dañar el aparato circulatorio. Esta información podría usarse para crear instrumentos de investigación sumamente necesarios, como mejores maneras de predecir cuáles son los pacientes en riesgo de padecer efectos secundarios cardíacos y estrategias para reducir este riesgo, señaló la doctora Dent.

"Cada fármaco para el cáncer causa diferentes alteraciones cardiovasculares por medio de diferentes mecanismos", dijo el doctor Moslehi. "Para lograr un avance, debemos conocer la naturaleza de la toxicidad cardiovascular".

El doctor puntualizó que estudios clínicos grandes que hacen seguimiento de pacientes por mucho tiempo pueden permitir que los investigadores obtengan información sobre cómo y cuándo se presentan los efectos secundarios cardíacos por largo tiempo.

Un ejemplo: efectos secundarios cardíacos y cáncer de seno

Durante la década pasada, el cáncer de seno (mama) ha sido el foco de investigación sobre efectos secundarios cardíacos, en parte debido a que se sabe que ciertos tratamientos para la enfermedad causan estos efectos secundarios.

Basándose en esta evidencia, la Asociación Americana del Corazón emitió recientemente una declaración científica sobre enfermedades cardiovasculares y cáncer de seno muy poco común. Para algunos supervivientes de cáncer de seno (en particular las personas de mayor edad), el riesgo de morir por una enfermedad cardiovascular podría exceder el riesgo de morir por el cáncer, señalaron los autores de la declaración.

La doctora Dawn L. Hershman, que estudia el cáncer de seno en el Centro Oncológico Integral Herbert Irving del Centro Médico de la Universidad de Columbia, estuvo de acuerdo. "La realidad es que logramos enormes avances en el tratamiento del cáncer de seno y, en la actualidad, es más probable que las mujeres con diagnóstico de cáncer de seno en estadio inicial mueran por enfermedades cardíacas que por el cáncer", dijo la doctora en una entrevista.

Los investigadores están usando el pez cebra para estudiar cómo afecta al corazón el fármaco para el cáncer doxorrubicina. Pez normal (izquierda) y un pez que presentó cardiomiopatía después del tratamiento con doxorrubicina (derecha).

Fuente: Doctora Aarti Asnani, Centro Médico Beth Israel Deaconess

Si bien se sabe que algunos tratamientos para el cáncer de seno, como las terapias dirigidas a HER2, doxorrubicina y radioterapia, causan efectos secundarios cardíacos, otros factores pueden afectar también la salud cardiovascular del paciente, señaló la doctora Hershman.  

"Una buena parte del problema es que los factores de riesgo cardíacos y vasculares no siempre son controlados en forma satisfactoria en los pacientes con cáncer", explicó la doctora. "Cuando una mujer recibe el diagnóstico de cáncer de seno, el cumplimiento de los tratamientos para otras afecciones médicas generalmente se ve afectado, como mantener bajo control el colesterol o la diabetes".

El doble riesgo de cáncer y de enfermedad cardíaca en los supervivientes de cáncer ha creado un reto para oncólogos y para cardiólogos, puntualizó la doctora Minasian. "La pregunta es, ¿podemos controlar el riesgo de ambas enfermedades para ayudar a que las personas vivan sus vidas en forma saludable y productiva?", cuestionó la doctora.

La meta, explicó la doctora, es entender el riesgo de enfermedad cardiovascular del paciente cuando se diagnostica el cáncer y, entonces, controlar ese riesgo durante el tratamiento del cáncer y más allá. Si un paciente ya padece enfermedad cardiovascular, entonces la enfermedad debería controlarse junto con el cáncer, agregó la doctora Minasian.

Aumento de la concientización sobre los efectos secundarios cardíacos

Con el envejecimiento de la población estadounidense y los continuos avances que se logran en la atención del cáncer, algunos investigadores advirtieron que es probable que las cardiotoxicidades se conviertan en una preocupación mucho más grande en las próximas décadas.

Varios presentadores señalaron que, aún así, muchos de sus colegas en cardiología y oncología tienen un desconocimiento general sobre los efectos secundarios cardíacos de los tratamientos del cáncer.

"Debemos fomentar la participación de todos los miembros del equipo de atención médica, incluidos doctores, farmacéuticos y personal de enfermería, para transmitir la importancia de la salud cardiovascular de los supervivientes de cáncer", dijo la doctora Dent. 

La doctora Minasian agregó que los pacientes y los supervivientes deben también recibir información, señalando que la colaboración entre los investigadores será fundamental para lograr avances en el terreno de las cardiotoxicidades. "Necesitamos cardiólogos y oncólogos que trabajen juntos para responder las preguntas básicas sobre cardiotoxicidades que ningún grupo pudo responder trabajando en forma aislada", dijo la doctora.

Cirujanos ayudan a pacientes a obtener los tratamientos que necesitan

Algunos hospitales y centros oncológicos han formado equipos multidisciplinarios para coordinar el tratamiento de pacientes con cáncer y reducir a la vez el riesgo de efectos secundarios cardíacos.

En el Centro Oncológico MD Anderson de la Universidad de Texas, por ejemplo, el doctor Cezar A. Iliescu forma parte de una nueva disciplina denominada cardioncología intervencionista. Estos médicos e investigadores se especializan en procedimientos complejos que permiten a pacientes con cáncer y enfermedades cardíacas reciban los tratamientos del cáncer que necesitan.

"Podemos realizar cualquier procedimiento cardiovascular que los pacientes con cáncer necesitan (incluso en pacientes débiles), independientemente de las enfermedades  ccomórbidas", dijo el doctor Iliescu. "Podemos afirmar con gran certeza que el paciente no va a morir por una enfermedad cardiovascular".

Los investigadores del MD Anderson han estado publicando sus resultados, entre los que se incluye un análisis de la administración clínica del síndrome coronario agudo en pacientes con cáncer.

"No contamos con muchos datos en este ámbito sobre cómo manejar la atención de estos tipos de pacientes, por eso deseamos compartir nuestra experiencia", dijo el doctor Iliescu. "Esta es una disciplina muy interesante y dinámica".

< Artículo anterior

Estimulación del sistema inmunitario reduce algunos linfomas de crecimiento lento

Artículo siguiente >

Los cartuchos para vaporizador producen altas concentraciones de nicotina en consumidores jóvenes

Si desea copiar algo de este texto, vea Derechos de autor y uso de imágenes y contenido sobre instrucciones de derechos de autor y permisos. En caso de reproducción digital permitida, por favor, dé crédito al Instituto Nacional del Cáncer como su creador, y enlace al producto original del NCI usando el título original del producto; por ejemplo, “Problemas cardíacos: investigación de los efectos secundarios cardíacos de tratamientos del cáncer publicada originalmente por el Instituto Nacional del Cáncer.”

Enviar por correo electrónico