October 2017 - Cancer Currents Blog
-
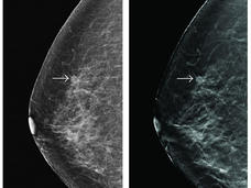
TMIST Trial Aims to Provide Clarity on Breast Cancer Screening Approaches
A large nationwide clinical trial called TMIST has been launched to compare two techniques used for mammograms: tomosynthesis, often called 3D mammography, and standard 2D digital mammography.
-
Abemaciclib Approved by FDA for Advanced or Metastatic Breast Cancer
FDA approved abemaciclib (Verzenio™) for the treatment of some people with advanced or metastatic HR-positive, HER2-negative breast cancer whose disease has progressed after treatment with hormone therapy.
-
With FDA Approval for Advanced Lymphoma, Second CAR T-Cell Therapy Moves to the Clinic
One month after approving the first CAR T-cell therapy for cancer, FDA has approved a second such therapy. The treatment, axicabtagene ciloleucel (Yescarta™), was approved for some patients with advanced non-Hodgkin lymphoma.
-
Study Uses Open Data to Analyze “Normal” Tissue Near Tumors
The tissue immediately surrounding a tumor may not be normal, even if it appears normal under the microscope, according to an analysis of data from two genomic databases.
-
Nivolumab Receives Accelerated Approval from FDA for Advanced Liver Cancer
The FDA has granted accelerated approval to the immunotherapy drug nivolumab (Opdivo®) for patients with advanced liver cancer who have previously been treated with the targeted therapy sorafenib (Nexavar®).
-
Studies Identify Therapies That May Delay Melanoma Recurrence after Surgery
Two recent clinical trials have identified treatments that may delay cancer from returning in some patients with melanoma. Patients in both trials had advanced melanoma that was surgically removed, and each trial tested different forms of post-surgical, or adjuvant, therapy.
-
Copanlisib Approved for Follicular Lymphoma
FDA has granted accelerated approval to copanlisib (Aliqopa®) for the treatment of patients with follicular lymphoma, a form of non-Hodgkin lymphoma.
-
Pembrolizumab Secures FDA Approval in Stomach Cancer
The FDA has granted accelerated approval to the immunotherapy drug pembrolizumab (Keytruda®) for use in patients with advanced gastric (stomach) cancer that is PD-L1 positive.
-
Extensive Lymph Node Removal Doesn't Improve Survival in Some Women with Early-Stage Breast Cancer
Long-term results from a large clinical trial confirm that, for some women with early-stage breast cancer who have lumpectomy as their surgical treatment, a less extensive lymph node biopsy approach is sufficient.
-
Study Identifies Crucial Characteristic of High-Risk HPV
By comparing the genomes of women infected with a high-risk type of human papillomavirus (HPV), researchers have found that a precise DNA sequence of a viral gene is associated with cervical cancer.
-
Timing and Sequence Critical for Immunotherapy Combination
When given at the same time, two immune checkpoint inhibitors were ineffective against breast cancer growth in mice, a new study found. The combination was more effective and safer if the two inhibitors were given in a specific sequence.