Meningioma Diagnosis and Treatment
A meningioma is a primary central nervous system (CNS) tumor. This means it begins in the brain or spinal cord. Overall, meningiomas are the most common type of primary brain tumor. However, higher grade meningiomas are very rare.
To get an accurate diagnosis, a piece of tumor tissue will be removed during surgery, if possible. A neuropathologist should then review the tumor tissue.
What are the grades of meningiomas?
Primary CNS tumors are graded based on the tumor location, tumor type, extent of tumor spread, genetic findings, the patient’s age, and tumor remaining after surgery, if surgery is possible.
Meningiomas are grouped in three grades based on their characteristics. Each grade (1, 2, or 3, also written as I, II, or III) includes different meningioma subtypes. Molecular testing is used to help identify subtypes that are related to location and disease characteristics.
- Grade 1 meningiomas are low grade tumors and are the most common. This means the tumor cells grow slowly.
- Grade 2 atypical meningiomas are mid-grade tumors. This means the tumors have a higher chance of coming back after being removed. The subtypes include choroid and clear cell meningioma.
- Grade 3 anaplastic meningiomas are malignant (cancerous). This means they are fast-growing tumors. The subtypes include papillary and rhabdoid meningioma.
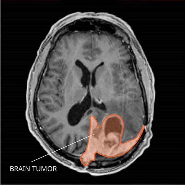
What do atypical and anaplastic meningiomas look like on an MRI?
Grade II and III meningiomas usually appear as an enhancing mass on the outside lining of the brain tissue, which may or may not brighten with contrast. Malignant meningiomas can also invade into the brain tissue.
What causes atypical and anaplastic meningiomas?
Cancer is a genetic disease – that is, cancer is caused by certain changes to genes that control the way our cells function. Genes may be mutated (changed) in many types of cancer, which can increase the growth and spread of cancer cells. The cause of meningiomas is not known. Exposure to radiation, especially in childhood, is the only known environmental risk factor for developing meningiomas. People who have a genetic condition, called neurofibromatosis type 2, are at increased risk for developing meningiomas.
Where do atypical and anaplastic meningiomas form?
Meningiomas form along the dura mater, the outermost layer of tissue that covers and protects the brain and spinal cord. The dura mater is one of three layers that form the meninges. Meningiomas arise from meningeal cells. As a result, they tend to occur along the surface of the brain.
Do atypical and anaplastic meningiomas spread?
Meningiomas can spread to other areas of the CNS through cerebrospinal fluid (CSF). Grade II meningiomas can invade surrounding tissue, including nearby bone tissue. Grade III meningiomas have irregular cells and are likely to invade the brain or spread to other organs in the body.
What are the symptoms of atypical and anaplastic meningiomas?
Symptoms related to a meningioma depend on the tumor’s location. Here are some possible symptoms that can occur.
Meningioma Symptoms
- Vision changes
- Loss of hearing or smell
- Confusion
- Seizures
- Headaches that are worse in the morning
Who is diagnosed with atypical and anaplastic meningiomas?
Meningiomas are more common in females, but grades II and III occur more often in males. They are most common in black people, followed by white people, and then Asian-Pacific Islanders. The meningiomas tend to occur in people around 60 years old, with the risk increasing with age. An estimated 2,692 people are living with this tumor in the United States.
What is the prognosis of atypical and anaplastic meningiomas?
The likely outcome of the disease or chance of recovery is called prognosis.
Atypical and Anaplastic Meningioma Prognosis
The relative 5-year survival rate for atypical and anaplastic meningioma is 63.8% but know that many factors can affect prognosis. This includes the tumor grade and type, traits of the cancer, the person’s age and health when diagnosed, and how they respond to treatment. If you want to understand your prognosis, talk to your doctor.
What are the treatment options for atypical and anaplastic meningiomas?
The first treatment for a malignant meningioma is surgery, if possible. The goal of surgery is to obtain tissue to determine the tumor type and to remove as much tumor as possible without causing more symptoms for the person.
Most people with atypical and anaplastic meningiomas receive further treatments. After surgery, radiation is often recommended to delay the return of grade II and III meningiomas. Treatments may also include chemotherapy, or clinical trials. Clinical trials, with new chemotherapy, targeted therapy, or immunotherapy drugs, may also be available and can be a possible treatment option. The role of chemotherapy or clinical trials after radiation therapy is unclear. Treatments are decided by the patient’s healthcare team based on the patient’s age, remaining tumor after surgery, tumor type, and tumor location.
Open Clinical Studies for Atypical and Anaplastic Meningiomas
- Outcomes and Risk Project for Patients with Rare CNS Cancers
- Evaluation of the Natural History and Specimen Banking for Patients with CNS Cancers
- Virtual Reality Study for Patients with Brain Cancer
- Sleep Observation Study for Patients with Brain Cancer
- CALM Therapy Intervention Study for Patients with Brain Cancer
- Immune Checkpoint Inhibitor Nivolumab for Patients with Rare CNS Cancers
- ONC206 for Patients with Rare CNS Neoplasms
Learn More
- Collaborating Globally to Impact Outcomes for Rare Brain and Spine Cancers
- Meningioma Survivor Finds Meaning in Rare Cancer Diagnosis
- Living with a Brain or Spine Tumor

