Temas y relatos: Un blog sobre la investigación del cáncer
Blog que presenta las noticias y las últimas investigaciones del Instituto Nacional del Cáncer.
-
Se comprobó la eficacia del nivolumab y la quimioterapia antes de la cirugía para el cáncer de pulmón en estadio temprano
Según los resultados de un estudio clínico grande, el tratamiento de las personas con cáncer de pulmón en estadio temprano con el medicamento inmunoterapéutico nivolumab (Opdivo) y quimioterapia antes de la cirugía, hace que el cáncer tarde en progresar o recidivar (volver).
-
La combinación de ivosidenib con quimioterapia es una nueva opción para algunas personas con leucemia mieloide aguda
Según los resultados de un estudio clínico grande, la combinación de ivosidenib (Tibsovo) con el medicamento quimioterapéutico azacitidina tal vez sea una nueva opción de tratamiento para algunas personas que tienen leucemia mieloide aguda (LMA) con una mutación en el gen IDH1.
-
Los embriones en el útero tienen mutaciones genéticas que causan cáncer en la edad adulta
Según un nuevo estudio, las mutaciones en genes relacionados con el cáncer que surgen en los embriones quizás sean más comunes de lo que se pensaba. Según los investigadores principales del estudio, descubrir si una persona tiene una mutación en mosaico es importante para el tratamiento del cáncer.
-
La detección de muchos cánceres con una sola prueba crea incertidumbre
Hubo avances en la creación de pruebas no invasivas que podrían encontrar muchos cánceres temprano. Pero el doctor Phil Castle señala que aún hay mucho que aprender sobre estas pruebas de detección de múltiples tipos de cáncer antes de que su uso generalizado.
-
Formas más seguras de detectar el cáncer de testículo recidivante tras la cirugía
Según los resultados de un estudio clínico grande, después de una cirugía de cáncer de testículo de riesgo bajo en estadio temprano, la vigilancia con IRM o menos TC que la estándar sirve también para detectar la recidiva.
-
La FDA aprobó Opdualag, la primera inmunoterapia dirigida a LAG-3
La inmunoterapia combina relatlimab (inhibidor de puntos de control inmunitario de LAG-3) con nivolumab (inhibidor de PD-1). Es el primer inhibidor de puntos de control inmunitario que se aprueba en los últimos 8 años. Ambos medicamentos sirven para tratar el melanoma avanzado y se administran al paciente en una sola infusión.
-
Se aprueba Carvykti, la segunda terapia de células T con CAR para el mieloma múltiple
Las personas con mieloma múltiple avanzado tienen ahora otra opción de terapia de células T con CAR con la aprobación reciente de ciltacabtagén autoleucel (Carvykti). Al igual que la primera terapia de células T con CAR, Carvykti se dirige a la proteína BCMA en las células del mieloma.
-
La darolutamida prolonga la supervivencia de algunas personas con cáncer de próstata metastásico
Los resultados del ARASENS indican que añadir darolutamida (Nubeqa) a la terapia de privación de andrógenos con docetaxel (Taxotere) mejora la supervivencia de los hombres con cáncer de próstata metastásico sensible a las hormonas sin causar más efectos secundarios.
-
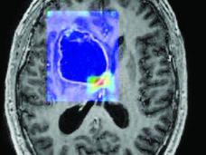
¿Sirve la inteligencia artificial para ver el cáncer de formas nuevas y más eficaces?
Los investigadores crean herramientas de inteligencia artificial (IA) que podrían obtener imágenes del cáncer más rápido, con más precisión y más información. Pero también hay inquietudes sobre si estas técnicas están listas para los consultorios médicos; si beneficiarán a las personas; y si ese beneficio llegará a todos o solo a algunos de los pacientes.
-
Las mujeres tienen más efectos secundarios graves por el tratamiento oncológico que los hombres
Según un nuevo estudio, las mujeres tienen más probabilidad que los hombres de tener efectos secundarios graves por los tratamientos de cáncer, como la quimioterapia, la terapia dirigida y la inmunoterapia. Los investigadores esperan que los hallazgos aumenten la conciencia sobre estas diferencias y que sirvan para orientar la atención del paciente.
-
Noticias alentadoras y precauciones sobre el embarazo para las sobrevivientes de cáncer infantil
Las mujeres adultas sobrevivientes de cáncer infantil no tienen menos probabilidad de tener bebés sanos en comparación con quienes no tuvieron cáncer, según se indicó en un nuevo estudio. No obstante, quizá tengan más riesgos de salud durante el embarazo, por lo que deben recibir atención obstétrica más intensiva.
-
El trametinib es la nueva opción de tratamiento para un tipo raro de cáncer de ovario
Los nuevos resultados de un estudio grande indican que el trametinib (Mekinist) es un tratamiento eficaz para el cáncer de ovario seroso de grado bajo. Los nuevos resultados de un estudio ofrecen la primera prueba sólida de que un tipo raro de cáncer de ovario, llamado cáncer de ovario seroso de grado bajo, requiere un tratamiento diferente a otras formas de la enfermedad.
-
Los pacientes de cáncer tal vez continúen usando la telemedicina incluso después de la pandemia
Los expertos afirman que es necesario estudiar la mejor forma de hacer que la telemedicina pase de ser una solución temporal durante la pandemia a una parte permanente de la atención del cáncer que esté al alcance de todos quienes la necesiten.
-
Muchas mujeres están atrasadas con los exámenes de detección de cáncer de cuello uterino
Los investigadores descubrieron que las tasas de exámenes de detección de cáncer de cuello uterino disminuyeron entre el año 2005 y el año 2019, y que existían desigualdades entre grupos de mujeres. La razón más común de no hacerse los exámenes de detección fue la falta de conocimiento sobre el examen o no saber que lo necesitaban.
-
¿Se puede evitar la enfermedad de injerto contra huésped crónica?
Un nuevo estudio indica que eliminar las células inmunitarias llamadas células T vírgenes de las células madre donadas antes de que se trasplanten tal vez evite la enfermedad de injerto contra huésped (EICH) crónica en personas con leucemia. El procedimiento no aumentó la probabilidad de que el cáncer de los pacientes volviera.
-
El durvalumab mejora un poco la supervivencia de las personas con cáncer avanzado de vías biliares
En el estudio llamado TOPAZ-1, se descubrió que añadir durvalumab (Imfinzi) a la quimioterapia estándar produjo una leve mejora en la supervivencia de las personas con cáncer avanzado de vías biliares. Este medicamento de inmunoterapia quizás sea ahora el tratamiento inicial estándar para este cáncer que es difícil de tratar.
-
Posible clave para la eficacia de las inmunoterapias del cáncer: el gen HLA
Según los resultados de un estudio dirigido por el NCI, una forma específica del gen HLA (HLA-A*03) hace que los inhibidores de puntos de control inmunitario sean menos eficaces para algunas personas con cáncer. Si se confirman los resultados mediante otros estudios, el alelo HLA-A*03 podría servir para orientar el tratamiento con estos medicamentos que son de uso habitual.
-
Aunque tengan seguro, las personas con cáncer avanzado se enfrentan a problemas de dinero
Incluso con seguro médico, los pacientes de cáncer avanzado tienen dificultades económicas frecuentes y al comienzo del tratamiento. Los investigadores piensan que la dificultad económica se debería tratar como otras complicaciones en la atención del cáncer.
-
¿Sirven las vacunas de ARN mensajero para tratar el cáncer?
La eficacia de las vacunas de ARNm contra la COVID-19 podría acelerar la investigación sobre la técnica de vacunas de ARNm para tratar el cáncer, e incluso la creación de vacunas personalizadas contra el cáncer.
-
Cuando regresa el cáncer de ovario, la cirugía quizás sea una buena opción para algunas personas
Para las personas con cáncer de ovario recidivante que cumplen con ciertos criterios de selección, una cirugía más tal vez mejore la supervivencia, según los resultados de un estudio clínico grande.