Temas y relatos: Un blog sobre la investigación del cáncer
Blog que presenta las noticias y las últimas investigaciones del Instituto Nacional del Cáncer.
-
La Administración de Alimentos y Medicamentos acelera la vigilancia de los cigarrillos electrónicos: charla con Mitch Zeller
Para comercializar cigarrillos electrónicos en los Estados Unidos, las compañías ahora deben presentar una solicitud a la Administración de Alimentos y Medicamentos (FDA). Mitch Zeller, director del Centro de Productos de Tabaco de la FDA, habla sobre la reglamentación de los cigarrillos electrónicos.
-
En los adultos mayores, la evaluación geriátrica disminuye los efectos secundarios del tratamiento del cáncer
Un nuevo estudio indica que una evaluación geriátrica podría orientar el tratamiento de adultos mayores con cáncer avanzado. En el estudio, los pacientes cuya atención se orientó con una evaluación geriátrica, tuvieron menos efectos secundarios graves y caídas en casa.
-
Para el melanoma con BRAF, es más eficaz iniciar el tratamiento con inmunoterapias combinadas
En los estudios clínicos se descubrió que la combinación de ipilimumab (Yervoy) con nivolumab (Opdivo) es superior a la combinación de terapias dirigidas con dabrafenib (Tafinlar) y trametinib (Mekinist) como terapia de primera línea para los pacientes de melanoma metastásico con BRAF.
-
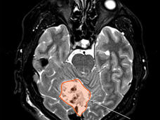
Una prueba permite detectar temprano si quedó cáncer en los niños que se trataron para el meduloblastoma
Una nueva prueba tal vez sirva para identificar a niños con un riesgo alto de que el cáncer vuelva después del tratamiento para el meduloblastoma. La prueba detecta la presencia de cáncer residual en el ADN que se desprende de las células tumorales del meduloblastoma en el líquido cefalorraquídeo.
-
Tras la cirugía para el cáncer de próstata, es seguro usar radioterapia más intensa por menos tiempo
Según un nuevo estudio, muchos pacientes con cáncer de próstata pueden recibir sin peligro una dosis de radioterapia más alta pero por menos tiempo después de la cirugía. En el estudio se observó que el método HYPORT, no dañó la calidad de vida de los pacientes en comparación con el método de radioterapia estándar.
-
Tecartus es la primera terapia de células T con CAR aprobada para adultos con leucemia linfoblástica aguda
La terapia de células T con CAR Tecartus es el primer tratamiento de este tipo aprobado por la Administración de Alimentos y Medicamentos (FDA) para tratar a adultos con leucemia linfoblástica aguda (LLA). La aprobación es para pacientes cuyo cáncer no respondió al tratamiento o volvió después del tratamiento.
-
Se aprobó una inmunoterapia adyuvante para algunos pacientes con cáncer de pulmón
La Administración de Alimentos y Medicamentos (FDA) aprobó el uso del atezolizumab (Tecentriq) como inmunoterapia adyuvante o adicional para tratar a algunos pacientes con cáncer de pulmón de células no pequeñas. La aprobación se basó en los resultados de un estudio clínico llamado IMpower010.
-
La seguridad de las vacunas contra el virus del papiloma humano está comprobada, pero hay más padres preocupados
A pesar de que hay pruebas constantes sobre la seguridad y eficacia de las vacunas contra el virus del papiloma humano (VPH), en un nuevo estudio se indica que hay más padres preocupados por la seguridad de estas. Los investigadores advierten que es necesario contrarrestar esta tendencia para mejorar las tasas de vacunación.
-
El pembrolizumab quizás evite la recidiva del melanoma en estadio temprano
Los resultados de un estudio indican que los pacientes que recibieron la inmunoterapia con pembrolizumab (Keytruda) después de la cirugía para extirpar melanomas en estadio II de riesgo alto tuvieron menos probabilidad de que el cáncer volviera que quienes no recibieron ningún tratamiento después de la cirugía.
-
La combinación de ribociclib y letrozol mejora la supervivencia de las pacientes con cáncer de seno (mama) avanzado
En un estudio clínico grande, las mujeres con cáncer de seno metastásico positivo para el receptor hormonal y negativo para HER2 tratadas con ribociclib (Kisqali) y letrozol (Femara) como tratamiento inicial vivieron cerca de 1 año más que las mujeres que recibieron tratamiento solo con letrozol.
-
El tipo de cirugía elegido para el cáncer de seno (mama) podría afectar la calidad de vida de las sobrevivientes jóvenes
Según un nuevo estudio, las mujeres con cáncer de seno en estadio temprano a quienes se les extirpó un seno (mastectomía unilateral) o ambos senos (mastectomía bilateral) tuvieron puntajes más bajos en un cuestionario de calidad de vida que las mujeres que eligieron una cirugía con conservación del seno.
-
Se aprobó el belzutifán para tratar tumores relacionados con la enfermedad hereditaria de Von Hippel-Lindau
La FDA aprobó el belzutifán (Welireg) para tratar a adultos con enfermedad de Von Hippel-Lindau (VHL) que tienen tumores de riñón, encéfalo, sistema nervioso o páncreas. Al achicar los tumores, el medicamento tal vez ayude a que estos pacientes eviten o retrasen la cirugía.
-
Dejar de fumar mejora la supervivencia de las personas con cáncer de pulmón
En un nuevo estudio, se observó que dejar de fumar después de un diagnóstico de cáncer de pulmón en estadio temprano ayuda a prolongar la vida de las personas. En el estudio, que incluyó a más de 500 pacientes, también se descubrió que dejar de fumar hace que el cáncer tarde más en recidivar (volver) o empeorar.
-
Investigación sobre la COVID-19, las vacunas y el sistema inmunitario: hallazgos recientes de la SeroNet del NCI
Las dirigentes del programa de la SeroNet del NCI responden a preguntas sobre hallazgos de investigación recientes sobre la respuesta inmunitaria al virus que causa la COVID-19, las nuevas variantes del virus y las vacunas contra la COVID-19. También comentan sobre los efectos de las vacunas en las personas con cáncer.
-
La desinformación sobre el cáncer en las redes sociales
La desinformación (información errónea o engañosa) sobre el cáncer abunda en Internet y las redes sociales. En las historias y los videos se describen resultados milagrosos de tratamientos sin comprobación científica que podrían causar daño. Los investigadores estudian ahora el alcance de la desinformación y el efecto que tiene en las personas con cáncer.
-
Según un estudio, la actividad física disminuye los efectos de la quimioterapia en el cerebro
Según un nuevo estudio, es posible que las mujeres que reciben quimioterapia para el cáncer de seno (mama) alivien los problemas cognitivos si cumplen las pautas nacionales de actividad física. Incluso se podrían beneficiar más si hacen actividad física antes del tratamiento.
-
Una nueva comisión se centra en la calidad de vida de los adolescentes y adultos jóvenes con cáncer
El cáncer altera mucho la vida de los adolescentes y los adultos jóvenes, que ya pasan por cambios importantes por la edad. La recopilación de datos sobre cómo el cáncer y el tratamiento afectan a este grupo de edad mejorará la calidad de vida durante el tratamiento y después de este.
-
Futuro prometedor en el avance contra el cáncer infantil
El director del Instituto Nacional del Cáncer (NCI), el doctor Ned Sharpless, reflexiona sobre los avances contra el cáncer infantil, como la terapia de células T con CAR, la recopilación de datos integrales sobre los niños y adolescentes con cáncer, y la necesidad de hacer frente a las desigualdades por cáncer infantil.
-
Disminuye el uso de opioides al final de la vida de los pacientes con cáncer
Según un nuevo estudio, en el último mes de vida de las personas con cáncer, se les recetaron menos opioides para controlar el dolor y aumentaron muchísimo las consultas por dolor en los servicios de urgencias.
-
La FDA aprueba el belumosudil para tratar la enfermedad de injerto contra huésped crónica
La FDA aprobó el belumosudil (Rezurock) para el tratamiento de la enfermedad de injerto contra huésped (EICH) crónica. La aprobación es para el uso del belumosudil en personas de 12 o más años que ya recibieron al menos otras dos terapias.