Treatment - Cancer Currents Blog
Cancer treatment related news, with context from leading experts. Includes articles on new therapies, treatment side effects, and important trends in treatment-related research.
-
Pembrolizumab Improves Survival in Advanced Triple-Negative Breast Cancer
Adding the immunotherapy drug pembrolizumab (Keytruda) to chemotherapy can help some patients with advanced triple-negative breast cancer live longer. In the KEYNOTE-355 trial, overall survival improved among patients whose tumors had high levels of the PD-L1 protein.
-
Disguising Cancer as an Infection Helps the Immune System Eliminate Tumors
NCI researchers are developing an immunotherapy that involves injecting protein bits from cytomegalovirus (CMV) into tumors. The proteins coat the tumor, causing immune cells to attack. In mice, the treatment shrank tumors and kept them from returning.
-
Dabrafenib–Trametinib Combination Approved for Solid Tumors with BRAF Mutations
FDA has approved the combination of the targeted drugs dabrafenib (Tafinlar) and trametinib (Mekinist) for nearly any type of advanced solid tumor with a specific mutation in the BRAF gene. Data from the NCI-MATCH trial informed the approval.
-
Immunotherapy’s Skin Side Effects: Are Microbes to Blame?
People with cancer who take immunotherapy drugs often develop skin side effects, including itching and painful rashes. New research in mice suggests these side effects may be caused by the immune system attacking new bacterial colonies on the skin.
-
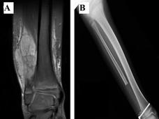
Ifosfamide May Be Treatment of Choice for Some People with Ewing Sarcoma, Trial Shows
New findings from the first large, randomized clinical trial to compare chemotherapy regimens for relapsed or treatment-resistant Ewing sarcoma could help doctors and patients select treatments.
-
Enhertu Improves Survival for Metastatic “HER2-Low” Breast Cancer
People with metastatic breast cancer whose tumors had low levels of HER2 protein lived longer after treatment with trastuzumab deruxtecan (Enhertu) than those treated with standard chemotherapy, results of the DESTINY-Breast04 clinical trial show.
-
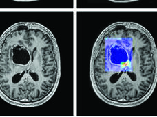
For Some Kids with Brain Cancer, Targeted Therapy Is Better than Chemo
The combination of dabrafenib (Tafinlar) and trametinib (Mekinist) shrank more brain tumors, kept the tumors at bay for longer, and caused fewer side effects than chemotherapy, trial results showed. The children all had glioma with a BRAF V600 mutation that could not be surgically removed or came back after surgery.
-
Active Surveillance for Low-Risk Prostate Cancer Continues to Rise
Men diagnosed with low-risk prostate cancer are increasingly opting against immediate treatment and choosing active surveillance instead, a new study finds. In fact, rates of active surveillance more than doubled between 2014 and 2021.
-
New Drugs Raise Old Questions about Treating Cancer during Pregnancy
A pregnant woman with Hodgkin lymphoma was treated successfully with an immunotherapy drug. The report that the treatment was safe and effective is leading researchers to start taking a closer look at new forms of cancer drugs in pregnant people.
-
For Early-Stage Lung Cancer, Nivolumab and Chemo before Surgery Proves Effective
Giving people with early-stage lung cancer the immunotherapy drug nivolumab (Opdivo) and chemotherapy before surgery can substantially delay the progression or return of their cancer, a large clinical trial found.
-
Ivosidenib with Chemotherapy New Option for Some People with AML
For some people with acute myeloid leukemia (AML) that has a mutation in the IDH1 gene, combining ivosidenib (Tibsovo) with the chemotherapy drug azacitidine may be a new treatment option, according to results from a large clinical trial.
-
Opdualag Becomes First FDA-Approved Immunotherapy to Target LAG-3
The immunotherapy treatment, which combines the LAG-3 inhibitor relatlimab and PD-1 inhibitor nivolumab, becomes the first new immune checkpoint inhibitor approved in 8 years. Both drugs are given to patients via a single infusion to treat advanced melanoma.
-
Carvykti Approval Marks Second CAR T-Cell Therapy for Multiple Myeloma
People with advanced multiple myeloma now have another option for CAR T-cell therapy with the recent approval of ciltacabtagene autoleucel (Carvykti). Like the first approved CAR T-cell therapy, Carvykti targets the BCMA protein on myeloma cells.
-
Darolutamide Extends Survival for Some People with Metastatic Prostate Cancer
Adding darolutamide (Nubeqa) to ADT and docetaxel (Taxotere) can improve how long men with hormone-sensitive metastatic prostate cancer live without causing more side effects, results from the ARASENS trial show.
-
Can Artificial Intelligence Help See Cancer in New, and Better, Ways?
Researchers have been developing artificial intelligence (AI) tools that could make cancer imaging faster, more accurate, and more informative. But there are also questions about whether these tools are ready for doctors’ offices, whether they will actually help people, and whether that benefit will reach all—or only some—patients.
-
Severe Side Effects of Cancer Treatment Are More Common in Women than Men
Women are more likely than men to experience severe side effects from cancer treatments such as chemotherapy, targeted therapy, and immunotherapy, a new study finds. Researchers hope the findings will increase awareness of the problem and help guide patient care.
-
Trametinib Is a New Treatment Option for Rare Form of Ovarian Cancer
New results from a large study show that trametinib (Mekinist) is an effective treatment for low-grade serous ovarian cancer. The findings are the first strong evidence that this rare type of ovarian cancer should be treated differently from other forms of the disease.
-
Telehealth-Based Cancer Care Surged during COVID. Will It Continue?
Experts say studies are needed on how to best transition telehealth from a temporary solution during the pandemic to a permanent part of cancer care that’s accessible to all who need it.
-
Experimental Medulloblastoma Treatment Gets a Boost with Nanoparticles
A nanoparticle coating may help cancer drugs reach medulloblastoma tumors in the brain and make the treatment less toxic. Mice treated with nanoparticles containing palbociclib (Ibrance) and sapanisertib lived substantially longer than those treated with either drug alone.
-
Can Chronic Graft-Versus-Host Disease Be Prevented?
Removing immune cells called naive T cells from donated stem cells before they are transplanted may prevent chronic graft-versus-host disease (GVHD) in people with leukemia, a new study reports. The procedure did not appear to increase the likelihood of patients’ cancer returning.