Skip to main content
An official website of the United States government
Government Funding Lapse
Because of a lapse in government funding, the information on this website may not be up to date, transactions submitted via the website may not be processed, and the agency may not be able to respond to inquiries until appropriations are enacted.

The NIH Clinical Center (the research hospital of NIH) is open. For more details about its operating status, please visit cc.nih.gov.

Updates regarding government operating status and resumption of normal operations can be found at opm.gov.

Email

Advances in Thyroid Cancer Research

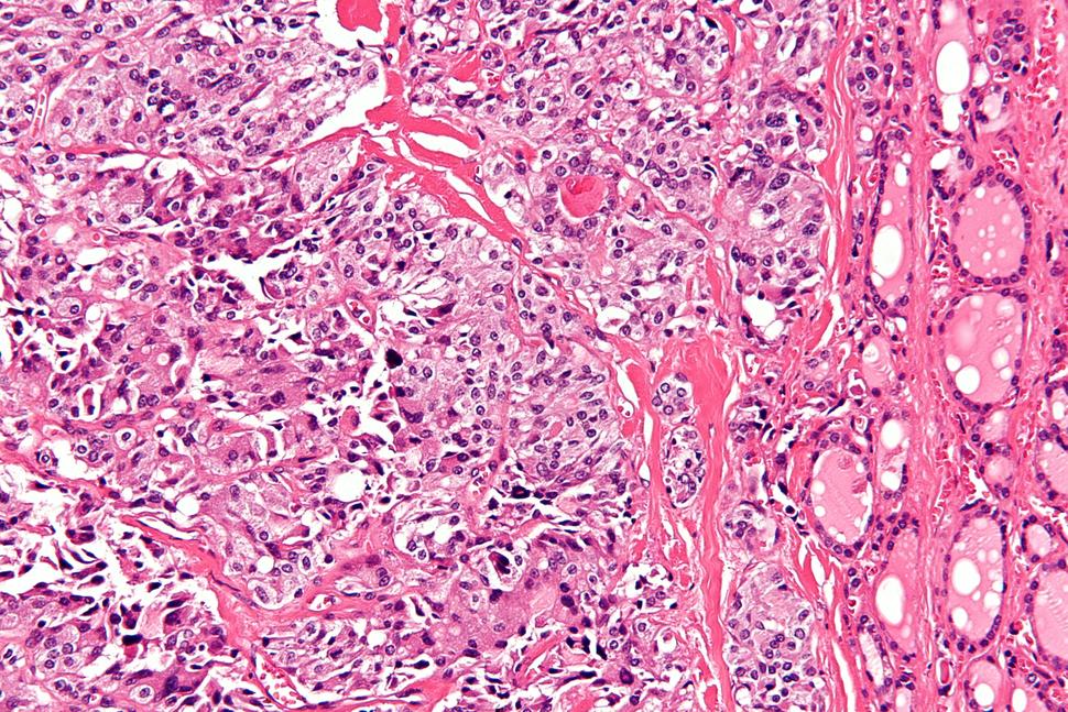
Photo taken through a microscope to show medullary thyroid carcinoma.

Micrograph of medullary thyroid carcinoma.

Credit: © 2011 Michael Bonert, Wikimedia Commons, License category CC BY-SA 3.0

NCI-funded researchers are working to advance our understanding of how to treat thyroid cancer. The four main types of thyroid cancer are papillaryfollicularmedullary, and anaplastic thyroid cancer.

Most thyroid cancers are found at an early stage and can be treated successfully. Scientists are now working to understand which people with thyroid cancer can safely choose less treatment for their disease, to minimize side effects. Research is also needed to find new treatments for rarer, aggressive types of thyroid cancer.

This page highlights some of the latest research in thyroid cancer, including clinical advances that may soon translate into improved care, NCI-supported programs that are fueling progress, and research findings from recent studies.

Thyroid Cancer Diagnosis

Over the last two decades, a major concern regarding thyroid cancer has been overdiagnosis - that is, the detection of small, slow-growing thyroid tumors that may never cause a medical problem. These tumors, also called nodules, are detected through screening, either by feeling the neck or using ultrasound.

When a suspicious nodule is found on a person’s thyroid, a fine needle biopsy is often used to determine whether the mass is cancerous.

However, up to one-third of the time, pathologists can’t determine from the appearance of the cells whether a nodule is cancerous. In the past, people with inconclusive biopsy results would have had to undergo removal of the half of the thyroid (called a lobe) that contained the suspicious mass. In many cases, this turned out to be overtreatment because the mass did not contain cancer.

In the last several years, however, NCI-funded researchers have developed genomic tests that can help tell whether such inconclusive nodules are cancerous and require surgery. These tests have the potential to spare many people potentially unnecessary surgery. In the future, the tests may also be used to select treatments that match the genetic characteristics of individual cancers and determine how much of the thyroid to remove.

Papillary and Follicular Thyroid Cancer Treatment

Papillary and follicular thyroid cancer are both slow growing cancers that usually don’t spread elsewhere in the body. Follicular thyroid cancer is less common. Most people diagnosed with thyroid cancer have papillary thyroid cancer, which can usually be cured by surgery to remove the entire thyroid. Sometimes, if papillary thyroid cancer is more advanced, patients will also receive treatment with radioactive iodine

Because the prognosis for early-stage papillary thyroid cancer is so good, scientists have been studying whether some patients can safely receive less extensive surgery. This would spare them the need to take thyroid replacement hormones for the rest of their lives. Treatment options could include:

  • Having a lobectomy. A lobectomy is a type of surgery that removes half of the thyroid, leaving the other half in place to produce hormones. This type of surgery is already used for people with small papillary cancers. Findings suggest that some people with these cancers that are between 1 and 4 centimeters in size, and have not spread to the lymph nodes, may also opt for this surgery. Researchers are continuing to study whether more people with papillary thyroid cancer could choose to avoid surgery to remove the whole thyroid.
  • Deferring surgery. Other research has shown that most people with very small papillary thyroid cancers—less than 1 centimeter—don’t need to have any type of surgery immediately. They can be safely monitored with periodic ultrasound imaging and have surgery only if their cancer starts to grow.
  • Undergoing radiofrequency ablation. This treatment uses a needle placed into the tumor using ultrasound imaging. Heat is then routed through the needle to destroy the tumor tissue. Researchers are testing the safety and effectiveness of this technique in people with small thyroid cancers at low risk of spreading elsewhere in the body.

Aggressive forms of papillary and follicular thyroid cancer

In rare cases, papillary or follicular thyroid cancer can be aggressive and grow and spread despite surgery and radioactive iodine treatment. The Food and Drug Administration (FDA) has approved two targeted drugs for such cancers: sorafenib tosylate (Nexavar) and lenvatinib (Lenvima). Both drugs block the action of several different altered proteins that promote cancer cell growth. Another targeted drug, called cabozantinib (Cabometyx), has been approved for cancers that continue to grow after sorafenib or lenvatinib treatment.

One of the proteins that sorafenib blocks is produced by the BRAF gene. In some people, an altered form of this gene promotes the development of aggressive papillary thyroid cancer. Other drugs that target altered forms of the B-Raf protein are being tested in people whose papillary thyroid cancer has recurred or progressed despite treatment.

NCI scientists are also studying how the B-Raf protein interacts with other proteins to promote tumor growth, with the goal of identifying new drugs that target these interactions.

In addition, researchers are looking for other genetic alterations in papillary or follicular thyroid cancer that could be targeted with new treatments. Recent drug approvals include:

A type of thyroid cancer called Hurthle cell thyroid cancer used to be considered a subtype of follicular thyroid cancer. It is now thought to be a separate type of tumor. Studies are ongoing to learn more about the genetic drivers of Hurthle cell thyroid cancer and what drugs might be used to target those genes.

Medullary Thyroid Cancer Treatment

A rare type of thyroid cancer called medullary thyroid cancer begins in the thyroid cells that produce a hormone called calcitonin. Radioactive iodine is not effective for these cancers. Targeted therapies such as selpercatnib (Retevmo)vandetanib (Caprelsa), and cabozantinib (Cometriq) may be used if the disease recurs after surgery or if it has spread elsewhere in the body (metastasized). Based on results from a 2023 study, most people with this type of thyroid cancer will receive selpercatnib first, before trying other drugs.

Researchers are looking for better drugs for the treatment of medullary thyroid cancer:

  • NCI’s My Pediatric and Adult Rare Tumor (MyPART) network has a rare tumor clinic for people with medullary thyroid cancer that doesn’t respond to standard treatments or recurs after treatment. Researchers will use tissue samples collected from clinic participants to try and understand how these cancers differ genetically from those in which existing treatments are effective.
  • Research from the NCI scientists in charge of the MyPART clinic showed that vandetanib can safely slow tumor growth in children and adolescents with inherited syndromes that cause medullary thyroid cancer.
  • Researchers have found that tiny deposits of medullary thyroid cancer cells can be seen on PET scans by using a radioactive tracer called gallium Ga 68-Dotatate, which binds to those cells. Scientists are now interested in seeing if a related drug, called lutetium Lu 177-Dotatate (Lutathera), could be used as a treatment for medullary thyroid cancer. This drug could possibly be used to deliver radiation straight to medullary thyroid cancer cells.

Anaplastic Thyroid Cancer Treatment

Anaplastic thyroid cancer is rare. But it is the most aggressive type of thyroid cancer and one of the most aggressive cancer types overall. Historically, few people with this disease are still alive one year after diagnosis. The disease had proved resistant to all tested therapies.

However in 2018, FDA approved the combination of two targeted drugs, dabrafenib mesylate (Tafinlar) and trametinib (Mekinist), for anaplastic thyroid cancers that have a certain mutation in the BRAF gene. About a quarter of anaplastic thyroid cancers carry this mutation.

Scientists at NCI and elsewhere are now looking for other mutations in anaplastic thyroid cancer that could be targeted with existing drugs. Through the collaboration between NCI’s Surgical Oncology Program and the National Center for Advancing Translational Sciences (NCATS), researchers are screening drugs approved for other conditions for the potential use of treating anaplastic thyroid cancer. Any promising drugs will eventually be tested at the NIH Clinical Center

NCI-Supported Research Programs

The Thyroid Specialized Programs of Research Excellence (Thyroid SPOREs) are designed to quickly move basic scientific findings into clinical settings. The Thyroid SPOREs support the development of new therapies and technologies, as well as studies to better understand the genetics, biomarkers, and treatment of thyroid cancer.

Scientists in NCI's Division of Cancer Epidemiology and Genetics (DCEG) conduct both national and international research on thyroid cancer. Studies include those that have an environmental focus, such as exposure to radiation and thyroid cancer, as well as studies analyzing other risk factors for thyroid cancer. 

Within NCI's Center for Cancer Research, the Medullary Thyroid Carcinoma Clinic includes a multidisciplinary team that reviews cases of individuals affected by medullary thyroid carcinoma for treatment and management of their disease.

Clinical Trials

NCI funds and oversees both early- and late-phase clinical trials to develop new treatments and improve patient care. Trials are available for thyroid cancer treatment.

Thyroid Cancer Research Results

The following are some of our latest news articles on thyroid cancer research:

View the full list of Thyroid Cancer Research Results and Study Updates.

  • Reviewed:

If you would like to reproduce some or all of this content, see Reuse of NCI Information for guidance about copyright and permissions. In the case of permitted digital reproduction, please credit the National Cancer Institute as the source and link to the original NCI product using the original product's title; e.g., “Advances in Thyroid Cancer Research was originally published by the National Cancer Institute.”

Want to use this content on your website or other digital platform? Our syndication services page shows you how.

Email