April 2017 - Cancer Currents Blog
-
Patients Who Choose No Intervention for Small Thyroid Cancers Report Lack of Support
Patients who choose not to pursue immediate biopsy or treatment for small, asymptomatic thyroid cancers, or suspected cancers, can experience a lack of support from doctors and loved ones, a new study shows.
-
PARP Inhibitors May Be Effective in Brain, Other Cancers with IDH Mutations
Studies presented at the 2017 AACR annual meeting suggest that therapies which take advantage of the mutations in the IDH gene may be more effective than drugs that block it.
-
Making Greater Progress Against Cancer—Not Just a Hope but a Reality
Acting NCI Director Dr. Doug Lowy discusses what he calls encouraging news in the most recent Annual Report to the Nation and how NCI is helping to achieve further progress against cancer.
-
FDA Approves Pembrolizumab for Hodgkin Lymphoma
The FDA approved pembrolizumab for the treatment of some adult and pediatric patients with classical Hodgkin lymphoma.
-
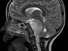
Studies Identify Potential Treatment Strategies for Pediatric DIPG Brain Tumors
Two studies have identified proteins that drive growth of diffuse intrinsic pontine glioma (DIPG) tumor cells. Blocking these targets with investigational drugs slowed tumor growth in animal models.
-
FDA Approves Niraparib as Maintenance Therapy for Recurrent Ovarian Cancer
The FDA approved the PARP inhibitor niraparib for use as a maintenance therapy for some women with advanced ovarian cancer.
-
FDA Approves Ribociclib, Expands Palbociclib Approval for Metastatic Breast Cancer
The FDA has approved a new targeted therapy, ribociclib, and expanded its earlier approval of another targeted therapy, palbociclib, for some women with metastatic breast cancer.
-
Advancing the Potential and Promise of Total-Body PET Imaging
A total-body PET scanner under development is an ideal example of how NCI and NIH are supporting the development of new research and cancer care-related technologies.
-
Avelumab Becomes First Approved Treatment for Patients with Merkel Cell Carcinoma
The FDA has approved the first drug ever for the rare skin cancer, Merkel cell carcinoma, and updated data show an improved tumor response rate and that patients’ tumors continued to respond for at least a year.