Skip to main content
An official website of the United States government
Government Funding Lapse
Because of a lapse in government funding, the information on this website may not be up to date, transactions submitted via the website may not be processed, and the agency may not be able to respond to inquiries until appropriations are enacted.

The NIH Clinical Center (the research hospital of NIH) is open. For more details about its operating status, please visit cc.nih.gov.

Updates regarding government operating status and resumption of normal operations can be found at opm.gov.

Email

For Hairy Cell Leukemia, Drug Combination Leads to Long-Lasting Remissions

, by Nadia Jaber

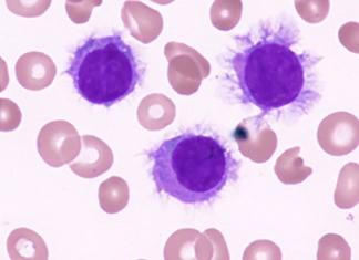
Microscopic image showing blood cells, including three hairy cell leukemia purple-stained cells with fuzzy edges, surrounded by numerous red blood cells with a soft pink hue.

Hairy cell leukemia is so named because the cancerous blood cells (purple) appear "hairy" when viewed with a microscope.

Credit: Internal Medicine. Nov 2016. doi: 10.2169/internalmedicine.55.6668. CC BY-NC-ND 4.0

In a small study, the combination of two targeted therapies led to long-lasting remissions for the majority of patients with hairy cell leukemia that had come back after previous treatments. The drugs, vemurafenib (Zelboraf) and rituximab (Rituxan), are already used separately to treat hairy cell leukemia.

Hairy cell leukemia occurs when abnormal, hairy-looking white blood cells build up in the bone marrow, spleen, and bloodstream. Although this rare cancer usually grows slowly, the leukemia cells eventually crowd out healthy blood cells. As a result, patients suffer from infections, low numbers of healthy blood cells, and swelling in the spleen.

If hairy cell leukemia comes back after or doesn’t respond to initial treatment with chemotherapy, patients have several treatment options. But these treatments either don’t lead to long-lasting remissions or come with the risk of significant side effects. 

The new study involved 30 people with hairy cell leukemia that had come back after or had not responded to previous treatment. For the large majority of participants, treatment with vemurafenib plus rituximab led to a remission that, for many, lasted for a median of about 3 years. 

The combination treatment also appeared to be very safe, causing mostly mild side effects that went away on their own. Findings from the study, led by a research team in Italy, were published May 13 in the New England Journal of Medicine.

This study is a “proof of principle” that adding rituximab to another therapy for hairy cell leukemia often makes the treatment more effective, said Robert Kreitman, M.D., of NCI’s Center for Cancer Research, who was not involved in the study. 

Dr. Kreitman has seen that trend in his own studies involving patients with hairy cell leukemia, including an ongoing clinical trial of rituximab in combination with moxetumomab pasudotox-tdfk (Lumoxiti) (see box). 

The Italian research team is planning a follow-up trial that will compare vemurafenib plus rituximab with chemotherapy for people who are newly diagnosed with hairy cell leukemia, said lead investigator Enrico Tiacci, M.D., of the University and Hospital of Perugia, Italy. 

Researchers are also exploring similar drug combinations as treatments for hairy cell leukemia, Dr. Kreitman noted. For example, an ongoing clinical trial is testing vemurafenib plus obinutuzumab (Gazyva), a drug that works in a similar way as rituximab.

Targeting BRAF and CD20 Proteins

About a decade ago, Dr. Tiacci and his colleagues began to explore the genetic underpinnings of hairy cell leukemia. They discovered that almost all people with hairy cell leukemia have a mutant form of the BRAF protein in their cancer cells. The mutant protein sends out signals that speed the growth of the cancer cells, they found. 

That finding led to studies of vemurafenib, which blocks the activity of mutant BRAF, as a potential treatment for hairy cell leukemia. While vemurafenib reduced the amount of cancer in nearly all patients, it didn’t completely eliminate the cancer, which eventually grew back.

Similarly, treating hairy cell leukemia with rituximab—a drug that binds to a protein called CD20 on white blood cells—doesn’t typically eliminate all of the cancer. So, the team decided to test vemurafenib and rituximab together. 

All 30 patients in the study had HCL that harbored mutant BRAF proteins and had previously received a median of three cancer therapies, including some who had received vemurafenib or rituximab alone. All participants were treated with vemurafenib, which is given as a pill, plus rituximab, which is given as an infusion, over a period of 18 weeks.

The combination treatment led to a complete remission in 26 patients (87%). A patient was considered to have a complete remission if they had no hairy leukemia cells visible in their bone marrow and blood (using a microscope), normal blood cell counts, and no swelling in their spleen at the end of the treatment. 

Three patients received only part of the treatment and couldn’t be evaluated for a complete remission. 

Eighteen (60%) of the 30 enrolled patients had no minimal residual disease, meaning no evidence of cancer on a DNA test that checks for the mutated BRAF gene. That group included 17 patients (57%) who had a complete remission and no minimal residual disease.

For many types of leukemia, including hairy cell, “it makes the complete remission [last] a lot longer if you can eliminate minimal residual disease,” Dr. Kreitman explained.

Several different tests have been used to check for minimal residual disease in research studies, he added. The most sensitive test uses a laser beam to scan a sample of bone marrow cells, he said. 

Long-Lasting Remissions

The remissions produced by vemurafenib plus rituximab lasted for a relatively long time, the researchers found. 

Among the 26 participants who had complete remissions, 22 (85%) hadn’t relapsed at a median of 34 months after the treatment ended. The four participants whose cancer did come back had residual disease at the end of the treatment.

And all 17 patients who had no minimal residual disease at the end of the treatment were still cancer-free a median of 28 months after the treatment ended. 

People who hadn’t previously taken vemurafenib or dabrafenib (Tafinlar), another drug that blocks mutant BRAF proteins, appeared to live cancer-free for a longer amount of time than those who had taken one of those medicines. That analysis was not originally planned as part of the study, however, meaning that link isn’t completely clear. 

Neither vemurafenib nor rituximab are approved by the Food and Drug Administration (FDA) for the treatment of hairy cell leukemia. It’s difficult to get enough patients for the phase 3 clinical trials that are often required for regulatory approval because this cancer is relatively rare, Dr. Tiacci explained. 

Side Effects of Vemurafenib Plus Rituximab

Study participants experienced mostly mild side effects that all eventually went away. All of the side effects seen in the study are common for patients receiving vemurafenib or rituximab alone, the researchers noted.

For instance, rituximab led to infusion-related reactions in 9 patients and vemurafenib led to joint pain or arthritis in 17 patients. There were no treatment-related infections.

For nearly half (48%) of the study participants, the dose of vemurafenib was reduced for part of the treatment because of side effects. In most cases, the dose reduction was modest, according to Dr. Tiacci.

Although patients in the study received the standard dose of vemurafenib, it was given for a shorter length of time than usual (8 weeks instead of 16 to 18 weeks). This likely led to fewer side effects for patients, the researchers wrote.

Neither vemurafenib nor rituximab harms the bone marrow as severely as chemotherapy does, the researchers stressed. That’s important because people with hairy cell leukemia may already have low numbers of healthy blood cells. 

But rituximab does wipe out healthy immune cells called B cells for at least 6 months, Dr. Kreitman explained. A lack of healthy B cells can limit the benefits of vaccines, he added, which is especially important during the current pandemic. 

Adding Rituximab to Moxetumomab

Early results from Dr. Kreitman’s ongoing study suggest that rituximab can be safely added to moxetumomab as a treatment for people with hairy cell leukemia. Seven of the nine study participants (78%) have had a complete remission without evidence of residual disease.

Moxetumomab is FDA approved as a treatment for people with hairy cell leukemia who have previously received at least two other lines of therapy. Dr. Kreitman and his colleagues, who presented the findings at the American Society of Clinical Oncology annual meeting, plan to add four additional patients to the study.

 

Email