Skip to main content
An official website of the United States government
Español
Government Funding Lapse
Because of a lapse in government funding, the information on this website may not be up to date, transactions submitted via the website may not be processed, and the agency may not be able to respond to inquiries until appropriations are enacted.

The NIH Clinical Center (the research hospital of NIH) is open. For more details about its operating status, please visit cc.nih.gov.

Updates regarding government operating status and resumption of normal operations can be found at opm.gov.

Email

Brentuximab Vedotin Approved for Two Rare Lymphomas

, by NCI Staff

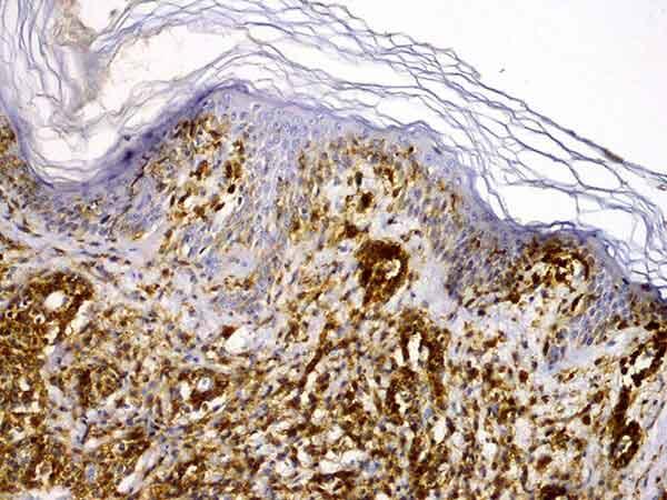
Microscopic tissue image showing CD30+ cutaneous anaplastic large cell lymphoma (ALCL) with distinctive brown-stained abnormal cells throughout the tissue sample.

Histological image of CD30+ cutaneous anaplastic large cell lymphoma (ALCL).

Credit: Wikimedia Commons

The Food and Drug Administration (FDA) has approved brentuximab vedotin (Adcetris®)® for the treatment of some patients with either of two types of non-Hodgkin lymphoma.

The approval was granted for the treatment of adults who have been treated previously for either primary cutaneous anaplastic large cell lymphoma (pcALCL) or CD30-expressing mycosis fungoides. Both diseases are rare cutaneous T-cell lymphomas (CTCLs) that start as rashes on the skin.

Brentuximab is a type of targeted therapy called an antibody–drug conjugate. The antibody component of the therapy binds to the protein CD30 on the surface of cancer cells, at which point the drug is released into the cells and kills them. Brentuximab was previously approved for the treatment of some patients with Hodgkin lymphoma, as well as for some patients with ALCL.

"CTCLs are chronic, progressive, and debilitating diseases," said Barbara Pro, M.D., of the Robert H. Lurie Cancer Center at Northwestern University, who was the lead investigator on a phase 2 study of brentuximab for patients with ALCL. "The approval of this novel treatment represents significant progress in the treatment of these diseases."

Trial Shows Drug is Effective and Safe

The approval was based on results from a phase 3 trial called ALCANZA that enrolled patients with mycosis fungoides or pcALCL that overexpressed the CD30 protein (CD30-positive) who had been previously treated for their disease. The 131 patients in the trial were randomly assigned to receive intravenous brentuximab or the physician's choice of methotrexate or bexarotene (Targretin®). The trial was funded by Millennium Pharmaceuticals and Seattle Genetics.

Although there are many treatment options for patients with these diseases—including methotrexate, bexarotene, drugs known as histone deacetylase (HDAC) inhibitors, and multidrug chemotherapy regimens—these therapies "rarely provide reliable and durable responses," wrote the study investigators.

In the trial, 56% of the patients in the brentuximab group had an objective response that lasted at least 4 months, compared with 12% of the physician's choice group. In addition, 16% of those who received brentuximab had a complete response to the treatment, compared with 2% of those who had physician's choice.

The median progression-free survival (PFS) of those who had brentuximab was 17 months, whereas median PFS for those in the physician’s choice group was 4 months.

"These improvements—especially, the substantially longer PFS—with brentuximab vedotin compared with the physician's choice, are important," said Christopher Melani, M.D., of the Lymphoid Malignancies Branch in NCI's Center for Cancer Research.

"These are impressive findings, and physicians should strongly consider this drug when treating patients with CD30-positive disease," he said.

The study results also showed that patients in the brentuximab group had a greater reduction in symptoms than those in the other group.

The symptoms caused by CTCLs can greatly diminish patients' quality of life, added Dr. Pro. So, in addition to the clinical responses to brentuximab, she continued, "a significant reduction in symptoms [is] very important for this patient population."

Brentuximab can have serious side effects, however. For example, 44 of the 66 trial participants who were treated with brentuximab experienced peripheral neuropathy, and nine of them discontinued the drug because of this side effect.

Some of the other most common side effects were nausea, diarrhea, and fatigue.

Future Research into Brentuximab

In an editorial accompanying the ALCANZA results, Pierluigi Porcu, M.D., and Joya Sahu, M.D., of Thomas Jefferson University, wrote that the trial results represent "a major milestone in the development of effective systemic therapies for cutaneous T-cell lymphoma."

The next steps, they continued, will include assessing brentuximab as an earlier line of therapy, as well as testing it in combination with other drugs. Dr. Melani agreed that further research is needed to determine whether the complete response rate and PFS might be improved if brentuximab is used with other treatments.

"Combining this agent with other effective therapies, such as skin-directed therapy [including topical steroids and retinoids], HDAC inhibitors, and/or standard chemotherapy, will likely be tested to see if we can improve on the complete response rate and PFS and provide more durable remissions for patients," he explained.

< Older Post

NCI: Taking Risks to Advance Science

Newer Post >

Genomic Profiling Tests Cleared by FDA Can Help Guide Cancer Treatment, Clinical Trial Enrollment

If you would like to reproduce some or all of this content, see Reuse of NCI Information for guidance about copyright and permissions. In the case of permitted digital reproduction, please credit the National Cancer Institute as the source and link to the original NCI product using the original product's title; e.g., “Brentuximab Vedotin Approved for Two Rare Lymphomas was originally published by the National Cancer Institute.”

Email