Cancer Currents: An NCI Cancer Research Blog
A blog featuring news and research updates from the National Cancer Institute.
-
Liquid Biopsy: Using DNA in Blood to Detect, Track, and Treat Cancer
Research studies show tests that analyze tumor DNA in blood, called liquid biopsies, may help detect cancer early, guide precision cancer treatment, and track treatment response.
-
Study Tracks the Evolution of Treatment Resistance in Metastatic Breast Cancer
A new study suggests that the cells in treatment-resistant tumors in women with metastatic breast cancer share important characteristics that could potentially make tumors vulnerable to therapies that otherwise might not have been considered.
-
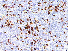
Levels of Immune Cells within Ovarian Tumors Linked to Survival for Some Patients
A large international study suggests that the presence of certain immune cells within the tumors of some patients with ovarian cancer are associated with improved survival.
-
Assuming the Role of NCI Director: Working to Accelerate Progress
Norman Sharpless, M.D., discusses his appointment as the director of the National Cancer Institute and his plans for continuing NCI’s long tradition of research excellence and commitment to improving people’s lives.
-
TMIST Trial Aims to Provide Clarity on Breast Cancer Screening Approaches
A large nationwide clinical trial called TMIST has been launched to compare two techniques used for mammograms: tomosynthesis, often called 3D mammography, and standard 2D digital mammography.
-
Abemaciclib Approved by FDA for Advanced or Metastatic Breast Cancer
FDA approved abemaciclib (Verzenio™) for the treatment of some people with advanced or metastatic HR-positive, HER2-negative breast cancer whose disease has progressed after treatment with hormone therapy.
-
With FDA Approval for Advanced Lymphoma, Second CAR T-Cell Therapy Moves to the Clinic
One month after approving the first CAR T-cell therapy for cancer, FDA has approved a second such therapy. The treatment, axicabtagene ciloleucel (Yescarta™), was approved for some patients with advanced non-Hodgkin lymphoma.
-
Study Uses Open Data to Analyze “Normal” Tissue Near Tumors
The tissue immediately surrounding a tumor may not be normal, even if it appears normal under the microscope, according to an analysis of data from two genomic databases.
-
Nivolumab Receives Accelerated Approval from FDA for Advanced Liver Cancer
The FDA has granted accelerated approval to the immunotherapy drug nivolumab (Opdivo®) for patients with advanced liver cancer who have previously been treated with the targeted therapy sorafenib (Nexavar®).
-
Studies Identify Therapies That May Delay Melanoma Recurrence after Surgery
Two recent clinical trials have identified treatments that may delay cancer from returning in some patients with melanoma. Patients in both trials had advanced melanoma that was surgically removed, and each trial tested different forms of post-surgical, or adjuvant, therapy.
-
Copanlisib Approved for Follicular Lymphoma
FDA has granted accelerated approval to copanlisib (Aliqopa®) for the treatment of patients with follicular lymphoma, a form of non-Hodgkin lymphoma.
-
Pembrolizumab Secures FDA Approval in Stomach Cancer
The FDA has granted accelerated approval to the immunotherapy drug pembrolizumab (Keytruda®) for use in patients with advanced gastric (stomach) cancer that is PD-L1 positive.
-
Extensive Lymph Node Removal Doesn't Improve Survival in Some Women with Early-Stage Breast Cancer
Long-term results from a large clinical trial confirm that, for some women with early-stage breast cancer who have lumpectomy as their surgical treatment, a less extensive lymph node biopsy approach is sufficient.
-
Study Identifies Crucial Characteristic of High-Risk HPV
By comparing the genomes of women infected with a high-risk type of human papillomavirus (HPV), researchers have found that a precise DNA sequence of a viral gene is associated with cervical cancer.
-
Timing and Sequence Critical for Immunotherapy Combination
When given at the same time, two immune checkpoint inhibitors were ineffective against breast cancer growth in mice, a new study found. The combination was more effective and safer if the two inhibitors were given in a specific sequence.
-
Kids First Pediatric Research Program Moves Forward
Progress continues to be made with the Gabriella Miller Kids First Research Program, which is creating opportunities for investigators from different research communities to share resources and collaborate on research into childhood cancers and certain birth defects.
-
Gemtuzumab Receives New FDA Approval for Acute Myeloid Leukemia
FDA has approved gemtuzumab ozogamicin (Mylotarg™) for adults with newly diagnosed CD33-positive AML and patients 2 years and older with CD33-positive AML who have experienced a relapse or whose disease has not responded to initial treatment.
-
Low-Tech Outreach Methods Improve Colorectal Cancer Screening
Proactive, low-tech outreach approaches can help increase the number of people who get screened for colorectal cancer with a colonoscopy or home stool test and complete the appropriate follow-up.
-
FDA Expands Approval of Fulvestrant for Advanced Breast Cancer
FDA has expanded its approval of fulvestrant (Faslodex®) as a standalone treatment for postmenopausal women with advanced HR-positive, HER2-negative breast cancer who have not previously undergone endocrine therapy.
-
Overcoming the Challenges of Metastatic Cancer: An Interview with Dr. Rosandra Kaplan
NCI’s Dr. Rosandra Kaplan discusses important trends in metastatic cancer research and new ideas for treating and preventing metastatic cancer.