February 2017 - Cancer Currents Blog
-
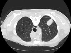
Lung Cancer Screening Pilot Reveals Challenges, Growing Pains
A demonstration project by the Veterans Health Administration is highlighting some of the complexities and challenges associated with the expansion of lung cancer screening in the United States.
-
Conditional Reprogramming: An Interview with Dr. Richard Schlegel on Growing Cancer Cells
Dr. Richard Schlegel describes an innovative cell culture technique he helped to develop. Called conditional reprogramming, the technique can be used to rapidly establish cell cultures of normal and tumor cells from patient samples.
-
U.S. Cancer Mortality Rates Falling, But Some Regions Left Behind, Study Finds
A study of nationwide mortality data found that, while cancer deaths in the U.S. dropped between 1980 and 2014, disparities persisted, and in 160 counties cancer mortality rose substantially.
-
Cancer Moonshot Moves Forward, Bringing Funding Opportunities for Researchers
NCI has issued a series of funding opportunity announcements aligned with goals of the recommendations in the Beau Biden Cancer Moonshot℠ Blue Ribbon Panel report released last fall.
-
Potential New Cancer Therapy Could Target Tumors Two Ways
A team of researchers has developed a potential new therapy that may work in two distinct ways to attack tumors, by directly killing cancer cells and immune cells that can suppress the anti-cancer immune response.
-
Combination Therapy Improves Survival for Some Men with Recurrent Prostate Cancer
Long-term results from an NCI-sponsored clinical trial suggest that adding androgen deprivation therapy to radiation therapy can improve survival for some men with recurrent prostate cancer.
-
Three-Drug Combination Extends Survival for Patients with Multiple Myeloma
A phase III clinical trial demonstrates that adding the drug bortezomib to a commonly used two-drug regimen extends survival in patients with newly diagnosed multiple myeloma.
-
NCTN/NCORP Data Archive: Expanding Access to Clinical Trial Data
NCI is launching the NCTN/NCORP Data Archive, a centralized repository of patient-level data from phase III clinical trials conducted by NCI’s NCTN and NCORP trials programs and the National Cancer Institute of Canada-Clinical Trials Group.
-
New Therapy Benefits Patients with Neuroendocrine Tumors
Results from a clinical trial suggest that 177 Lu-Dotatate may soon be a new treatment option for some patients with advanced neuroendocrine tumors.