Skip to main content
An official website of the United States government
Español
Email

Less-Frequent Zoledronic Acid Treatment Effective at Preventing Bone Metastasis Complications

, by NCI Staff

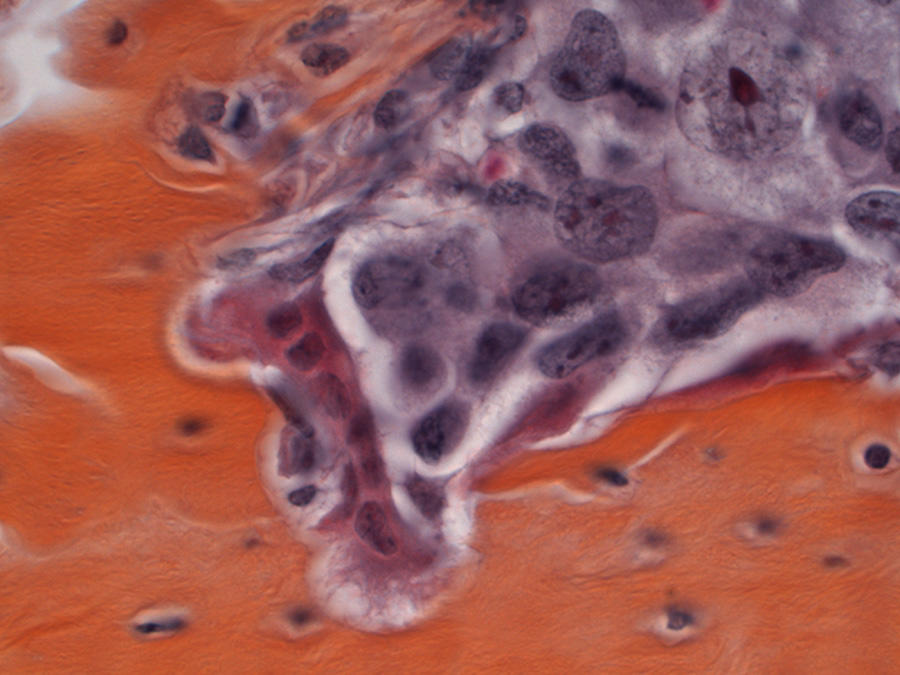
Microscopic image showing cancer cells (purple) with bone tissue (orange) and osteoclasts (red) that break down bone during metastasis, illustrating how cancer spreads to bone.

When tumors metastasize to the bone (orange), osteoclasts (red) promote the breakdown of bone and promote the growth of cancer cells (purple).

Credit: National Cancer Institute

Patients with cancer that has spread to their bones can receive less-frequent treatments to prevent fractures and other bone-related complications without sacrificing efficacy of the treatment, results from a large clinical trial show.

In the phase III clinical trial, patients with bone metastases who received infusions of zoledronic acid (Zometa®) every 12 weeks did not have more bone fractures or related problems than patients who received the drug every 4 weeks, the schedule that is commonly used in everyday patient care.

Although the trial investigators did not see a reduction in side effects with the less frequent infusions, patients receiving the drug every 12 weeks were almost twice as likely to receive their treatments as scheduled.

Longer intervals between infusions could also potentially reduce treatment costs, explained Andrew Himelstein, M.D., of the Helen F. Graham Cancer Center in Newark, Delaware, who led the trial.

“This could be a lower-cost approach without loss of effectiveness,” he said.

The trial results were published January 3 in JAMA.

Fracture Prevention, but Not without Risk

Zoledronic acid belongs to a class of drugs called bisphosphonates. Bisphosphonates interfere with the breakdown of bone tissue that results when cancer cells form metastases in the bone. Bone metastases can cause bone pain, bone fractures, and other complications.

Bisphosphonates are commonly used to prevent these complications in patients with bone metastases, but the drugs themselves can have side effects. These include kidney dysfunction and osteonecrosis of the jaw, a rare but debilitating side effect in which bone tissue in the jaw dies.

“The likelihood of osteonecrosis of the jaw seems to go up with the number of doses [of bisphosphonates] given and the duration of treatment,” as does kidney dysfunction, explained Dr. Himelstein.

The standard practice of giving zoledronic acid every 4 weeks to patients with bone metastases does not have a strong clinical rationale, he added. “There was certainly evidence that the drug persists in the body for a long time and carries out its effect for a long time.”

In light of this evidence, he and his collaborators sought to investigate if a less frequent dosing schedule would achieve the same benefits as the more frequent schedule.

Fewer Doses, Similar Results

In the trial—which was conducted through NCI’s Community Oncology Research Program—researchers at more than 250 academic and community treatment centers enrolled 1,822 patients with breast cancer, prostate cancer, or multiple myeloma and at least one bone metastasis. Patients were randomly assigned to receive zoledronic acid infusions every 4 weeks or every 12 weeks for 2 years.

The researchers recorded incidences of bone fractures, spinal cord compression, and the need for radiation or surgery to treat bone metastases, collectively referred to as skeletal-related events. They also tracked other important clinical measures, including pain scores, overall functioning (as measured by a performance status score), and incidence of kidney dysfunction and jaw osteonecrosis.

Participants were followed for a median of 1.2 years.

Overall, patients who received zoledronic acid every 12 weeks did not have a higher risk of skeletal-related events during the study than those who received it every 4 weeks: 29.5% of patients in the every 4-week group and 28.6% in the every 12-week group experienced at least one. The rate of skeletal-related events also did not differ by cancer type.

Pain and performance status scores were similar between the two dosing groups. Osteonecrosis of the jaw occurred in twice as many patients given zoledronic acid every 4 weeks. However, the number of patients affected was small relative to the study population and was not statistically significantly different between groups. A similar pattern was seen for serious kidney toxicity.

Implications for Patients

Although no significant reduction in side effects was seen with less-frequent zoledronic acid administration, there are other advantages to giving the drug less often, Dr. Himelstein explained.

“A longer interval between zoledronic acid doses could mean fewer trips to the hematologist or oncologist’s office,” which reduces the time taken away from work and family, he said.

Less frequent treatments would likely also reduce expenses.

“Patients have [health insurance] co-pays, they have deductibles … these are all important considerations for them," Dr. Himelstein said. “I anticipate that clinicians and their patients with bone involvement from breast cancer, prostate cancer, or multiple myeloma will opt for the longer dosing interval.”

These results replicate outcomes from a study presented at the American Society of Clinical Oncology annual meeting in 2014, but “in a larger, broader patient population,” commented Michael Erdek, M.D., a cancer pain specialist at the Johns Hopkins University School of Medicine, who was not involved in either study.

Although choosing a dosing schedule will remain up to individual practitioners, “any [treatment regimen] that is less frequent as opposed to more frequent,” while maintaining effectiveness, “is going to have advantages,” he added.

“This study was designed to have both academic and community participation and to be generalizable, so if the results set a new standard, they could be easily implemented in both settings and be broadly acceptable,” commented Lori Minasian, M.D., deputy director of NCI’s Division of Cancer Prevention.

An evolving area of research, she added, is to determine which patients might be better candidates for a newer drug to prevent skeletal-related events, denosumab.

A recent trial showed that postmenopausal women with breast cancer and osteoporosis may benefit more from denosumab, explained Dr. Minasian. Another trial comparing two different dosing schedules of denosumab in patients with metastatic breast or prostate cancer is currently ongoing.

Email